![]()
当院の特徴
Fiature

Feature.01
矯正認定医が監修・担当
昨今、一般の歯科医師もマウスピースなら矯正治療が提供できるようになりましたが、一方でマウスピース矯正すべきでない患者様にもマウスピースを勧めたり、イレギュラーなトラブルに遭遇した際に対応できる知識がなくトラブルが多発しています。当院では公益社団法人 日本矯正歯科学会が認めている矯正認定医が常勤で在籍しており、豊富な症例経験を有した歯科医師による安全な矯正治療を提供しています。
※矯正医は担当指名制となっています。

Feature.02
安心のコミコミ価格
当院では矯正装置料、調整料、保定装置料をすべて込みでご提示させていただきますので、治療中に後から追加で費用を頂くことはしません。

Feature.03
ホワイトニングのセット割
矯正中にホワイトニングをセットでお申し込むと、オフィスホワイトニングは 5,000 円引き、ホームホワイトニングはジェル 1 本無料で追加、デュアルホワイトニングは 5,000 円引き ジェル 1 本無料で追加の特典があります。

Feature.04
総合歯科医院だからこその
トータルコーディネート
当院では総合歯科診療として、矯正だけでなく、虫歯、歯周病の治療、また、嚙み合わせ、審美、外科治療もトータルで対応しておりますので、矯正前の治療、治療後のメンテナンスまでが全てお任せ頂けます。

Feature.05
光加速矯正導入で
矯正期間の短縮化
当院で導入しているオルソパルスという光加速矯正の装置により、歯の周辺組織に光を照射することで骨の再生を活性化させ、歯並びの移動を促進します。矯正期間が最大 3分の 1 に短縮できこともあります。

Feature.06
先進的機器の完備で
精密検査・診断・シュミレーション
当院ではより安全な矯正治療を提供できるように、セファロや iTero という機器を使用し、 患者様の歯列、顎、頭蓋骨の構造を正確に測定するところから、 3D 光学のスキャンニングで 口腔内の細部にわたる立体的画像の把握、治療シュミレーションを行っております。
![]()
インビザライン
マウスピース型矯正装置
の安心ポイント
Point


Point.01
世界1200万人以上の
使用の実績
当院では世界で使用実績のあるインビザラインシステムというマウスピース矯正装置を採用しております。インビザラインは膨大な臨床データを基に治療の設計が行われるので、他マウスピース装置と比較しても再現性や正確性に優れています。
※インビザライン社のデータ※医療機器に関する内容の掲載
Point.02
透明で目立たない
インビザラインは0.5mの薄さで、透明でプラスチック製なので、装着していることが目立ちません。周りに気づかれたくない方や、仕事上、見た目を気にする方などにおすすめです。

Point.03
従来の装置と比較して
通院回数が少ない
他装置の場合、通院は4週間に1回に対して、インビザラインの場合、歯の動きに応じて新しいマウスピースを取り替えて歯並びを改善していくので、2か月に1回の通院頻度になります。

Point.04
取り外しが可能
マウスピースは好きな時にご自身で取り外しができるので、歯磨きやお食事の時の不便さもありません。お仕事での接客で気にされる方でも安心です。
![]()
このような方は
ぜひご相談ください
Please consult
-
- 矯正治療を専門に行うドクターに診てほしい
-
- できる費用を抑えて矯正したい
-
- 早く矯正をスタートしたい
-
- マウスピース矯正で治るのか診断してほしい
-
- 虫歯、抜歯、ホワイトニングなどトータルで診てくれるところがいい
![]()
症 例
Case
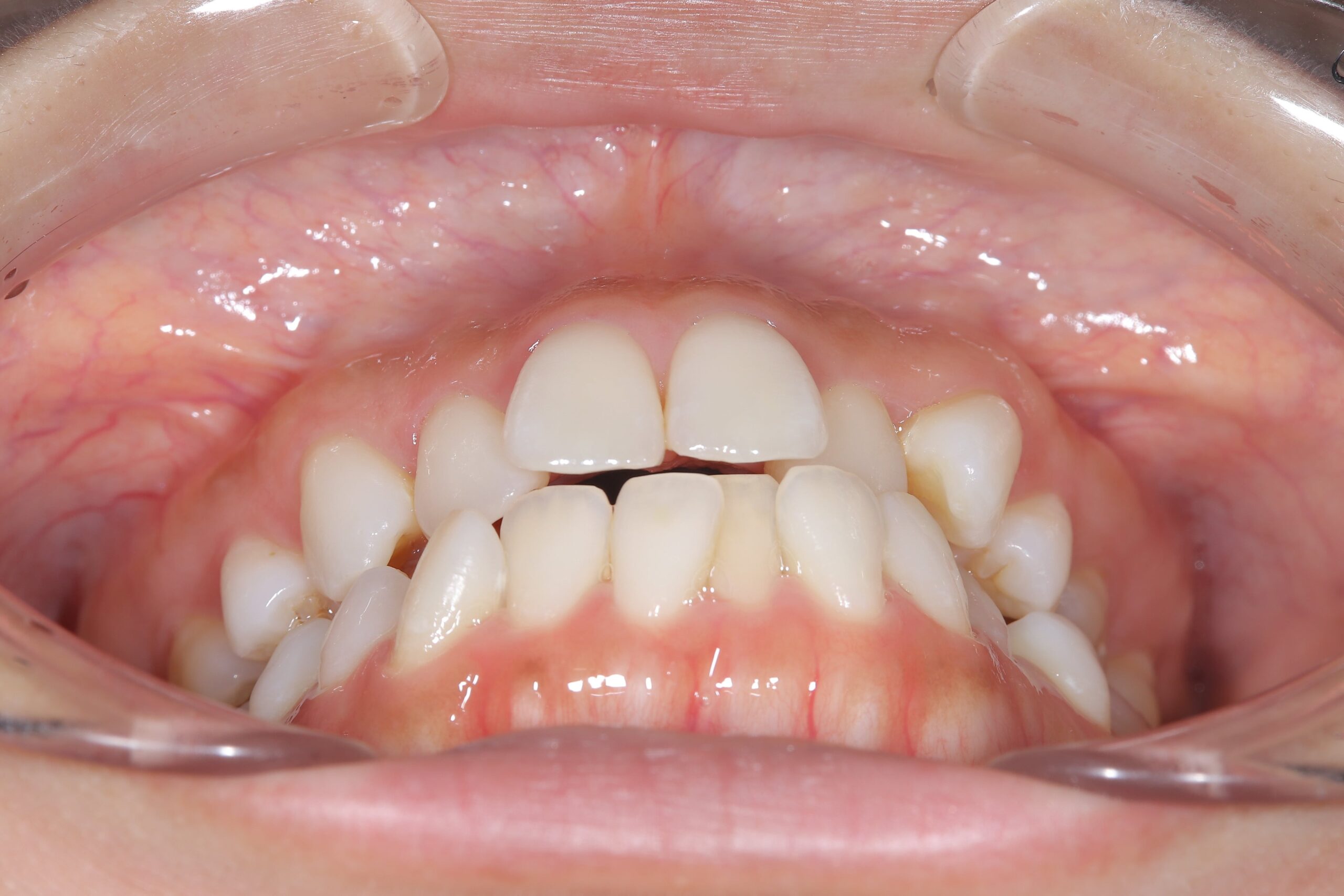
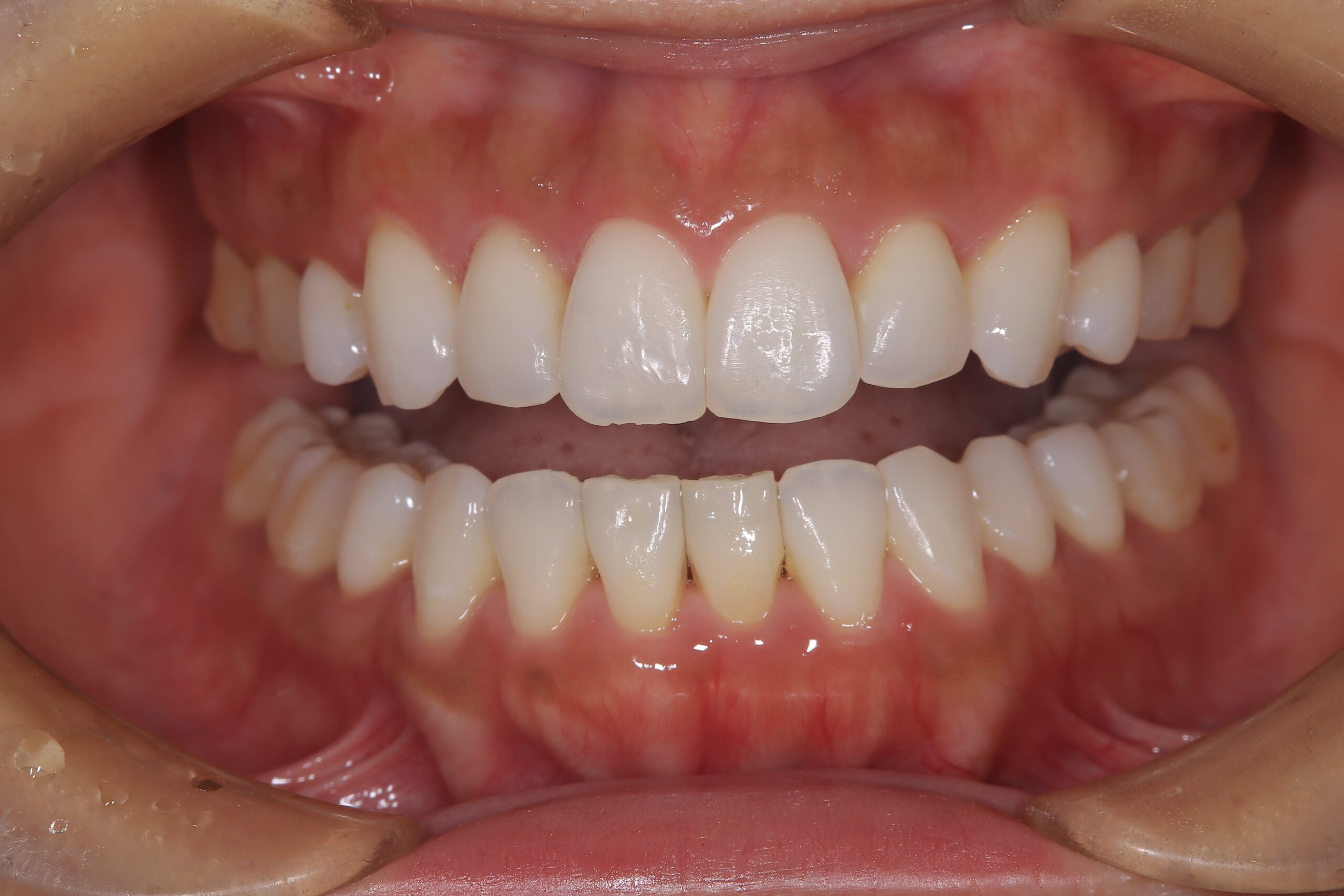
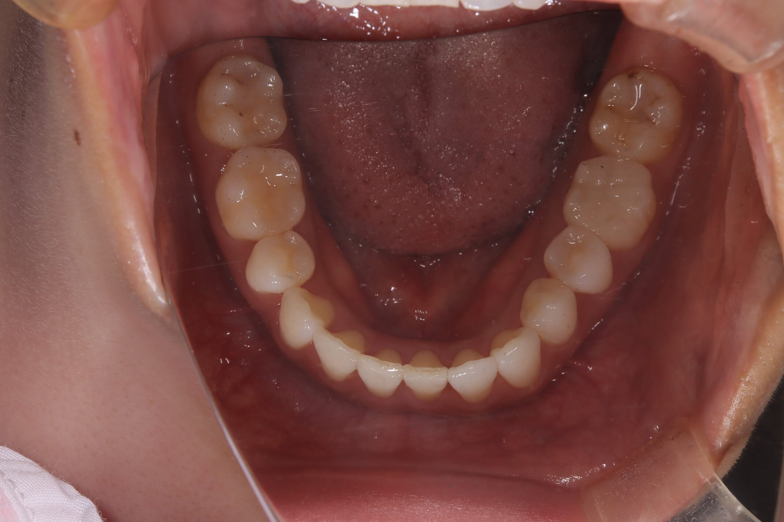
CASE 1
M・T 様
20代女性
2022.11.10
Before
After
| 主訴・症状 | 歯並び及び噛み合わせ |
|---|---|
| 治療期間・回数 | 6か月 |
| 治療費用 | 400,000円 |
| 副作用・リスク |
①歯並びを改善にスペースを確保するため健康な歯を抜歯し、隣在歯を切削することがある ②歯肉退縮が起きる場合がある ③治療後は、元に戻らないように保定装置が必要 |
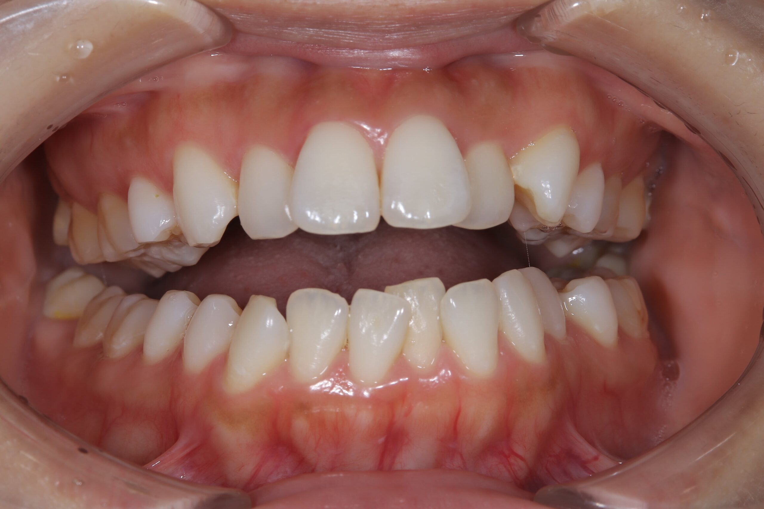
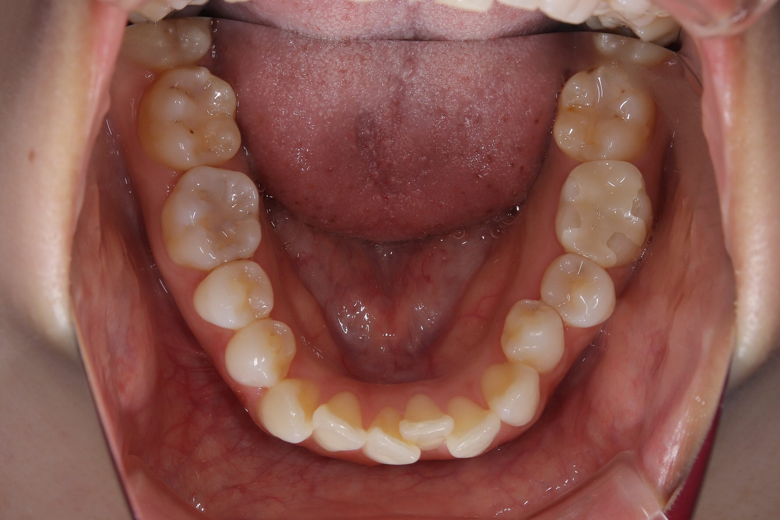
CASE 2
M・T 様
20代女性
2022.11.10
Before
After
| 主訴・症状 | 噛み合わせ |
|---|---|
| 治療期間・回数 | 6か月 |
| 治療費用 | 400,000円 |
| 副作用・リスク |
①長時間装着するため、虫歯や歯周病になる ②装置を装着するため痛みや圧迫感 |
CASE 3
Before
After
| 治療内容 | マウスピース型矯正装置(インビザライン)による矯正治療 |
|---|---|
| 治療詳細 | マウスピース型矯正装置を使用して、上下顎叢生(ガタつき)を改善するための矯正治療を行いました。 毎日20時間以上装着し、1~2週間ごとにマウスピースを交換しながら段階的に歯列を整えました。 |
| 治療期間・通院回数 | 治療期間:約12か月 通院回数:約8回(2か月に1回程度) |
| 治療費総額(税込) | 治療費総額:880,000円(税込) |
| 副作用・リスク |
|
![]()
矯正の流れ
Flow

初回無料相談
初回相談では患者様のお悩み、ご要望を丁寧にお伺いさせていただき、それを踏まえて最適な治療法、治療プランをご提案させていただきます。
矯正前の気になることがありましたら、些細なことでも大丈夫ですのでお気軽にご質問ください。
無理に勧誘はしませんのでご安心ください。


診察・検査・治療計画
安全な矯正を進めるためにレントゲン撮影、3Dスキャナーで口腔内の精密検査を行い、検査結果を元に最適な治療計画を作成します。
治療計画をご説明させて頂き、ご理解頂けましたら、治療をスタートしていきます。


処 置
虫歯、歯周病がある場合は、あとで処置を行うと矯正装置が合わなくなることがあるので、矯正前に処置を行います。


矯正開始
歯並び改善後、後戻り防止のための保定装置に取り替えます。
また、矯正後の虫歯・歯周病予防のために定期的な歯のお掃除をお勧めします。


調整・メンテナンス
歯並び改善後、後戻り防止のための保定装置に取り替えます。
また、矯正後の虫歯・歯周病予防のために定期的な歯のお掃除をお勧めします。

![]()
よくあるご質問
Faq
- Q
- 通院頻度、治療期間は?
-
通院頻度は平均1ヵ月半~2ヶ月半ぐらいが目安です。
治療期間は症状が片顎(上顎or下顎)だけでしたら6ヵ月、両方顎の全体矯正の場合、2年前後かかります。
- Q
- 矯正中は痛くないの?
- 矯正装置はいつもお口に入れていないものを装着するので、装着直後は違和感や少し痛みを感じることはありますが3日ほど慣れる方がほとんどです。装置自体が理由で痛みが続く場合はマウスピースの縁を削るなど調整させていただきます。
- Q
- 矯正認定医の指名は別途追加で費用がかかりますか?
- 矯正認定医でも一般歯科医でも費用は変わりません。
![]()
ご料金
Fee

![]()
医院情報
Clinic information

〒530-0001 大阪市北区梅田1-1-3 大阪駅前第3ビル18F

- 06-6344-6480
受付時間 9:00-18:00
| 診療時間 | 月 | 火 | 水 | 木 | 金 | 土 | 日 |
|---|---|---|---|---|---|---|---|
| 午前診 9:00~1:00 | ● | ● | ● | ● | ● | ● | - |
| 午後診 2:30~7:00 | ● | ● | ● | ● | ● | ※ | - |
※土曜日のみ午後診は2:00~5:00

























