あなただけの治療プラン
インプラント治療には様々な選択肢があり、すべての方に同じ治療が適しているわけではありません。当院では、高度な治療が必要な方には先進的な技術を用いた治療を、シンプルな治療で対応可能な方にはより負担の少ない方法をというように、患者様の状態や希望に合わせて最適な治療プランをご提案いたします。
implant
インプラント治療には様々な選択肢があり、すべての方に同じ治療が適しているわけではありません。当院では、高度な治療が必要な方には先進的な技術を用いた治療を、シンプルな治療で対応可能な方にはより負担の少ない方法をというように、患者様の状態や希望に合わせて最適な治療プランをご提案いたします。
豊富な経験と専門的な知識に基づき、安全で確実なインプラント治療を提供します。先進技術と設備を活用し、患者様お一人おひとりに最適な治療計画を立案いたします。
コンピュータガイデッドサージェリーとは、専用のソフトウェアを用いて、コンピュータ上でインプラント治療を計画した後、3Dプリンターにより手術用のガイドを作製し、ガイドを用いて的確な位置にインプラント手術を行うことです。 これにより、計画通りの位置にインプラントを埋入することができるので、手術時間・治療期間の短縮や、外科的侵襲が少なくすむので、患者さまの痛みや治療期間中のストレスを低減する事が可能となります。
マイクロスコープやガイドシステムを活用し、より精密で負担の少ない手術を実現しています。手術中の出血や腫れを最小限に抑え、術後の回復もスムーズです。
当院では、骨の状態が良好な場合、手術当日に仮歯を入れることが可能です。
「MEGAISQ」を使用して初期固定度を数値化し、即時荷重の可否を客観的に判断します。
これにより、安全かつ確実な即日の仮歯装着を実現しています。
骨の量が少ない場合でも、骨造成術などの高度な技術で対応が可能です。
他院でインプラント治療を断られた方でも、様々な治療の選択肢をご提案できます。
当院では、骨の量が少ない場合や複雑な症例でも、高度な骨造成技術により、インプラント治療が可能となるケースが多くあります。他院でインプラントを諦めざるを得なかった方も、ぜひご相談ください。
当院では骨造成の専門技術を持つ歯科医師が在籍しており、骨の量が少ない方でもインプラント治療の可能性があります。骨を増やす手術から、歯肉の再生まで、幅広い治療に対応しています。
上顎の奥歯部分の骨が薄い場合でも、当院では2mm程度の骨があれば対応可能です。専用の器具で上顎洞を持ち上げ、その空間に人工骨を注入して骨を造成します。腫れや痛みが比較的少なく、患者様の負担を軽減できる治療方法です。
大規模な骨造成が必要な場合に行う手術です。上顎洞の底を持ち上げ、十分な量の骨を造成することが可能です。
患者様ご自身の血液から抽出した成長因子を使用し、骨や歯肉の治癒を促進します。より自然な治癒力を活かした治療が可能です。
正式には「デンタルインプラント」。「人工歯根」「口腔インプラント」「歯科インプラント」と呼ばれることもあります。
歯根とは歯ぐきより下に埋もれている部分で、上の部分は歯冠(しかん)といいます。
一般的に虫歯になっても、歯根が残っていれば差し歯という治療法があります。
しかし、歯根がない場合は、インプラントを選択することが増えてきました。金具も見えず、痛みや異物感も少なくなってきています。
当院では、可能なかぎり最小限・短期間・安全なインプラントを提供しています。
両隣在歯を削って補う「ブリッジ」は積極的にお勧めしていません。
健康な歯を削ることは虫歯になるリスクを高め、削った歯に大きなダメージを与えるからです。
本来は3本の歯で受ける力を、2本の歯に負担させるのはオーバーワークになります。つまり、一本の歯の欠損だったものが、2本の歯を失う結果となる危険があります。
また、インプラントが困難な場合は、目立たない入れ歯をお勧めします。
この場合は、将来的にインプラント治療などの可能性を残せます。
ストローマンインプラントは、世界70国以上で使用され、優れた技術力をもつメーカーです。
半世紀をこえる研究の中で改善を重ねてきたストローマンは5年、10年という長い期間の安定性が実証されています。
「SLActive」(エスエルアクティブ)=製品名製造から施術時まで溶液に浸した状態で保管。
インプラントが空気に触れることなく埋入でき、より高い周辺組織の親和性を得ることができます。
そのため、骨の早期形成が可能となり、治療時間の大幅な短縮を実現させます(約2〜4週間)。
オステムインプラントは、韓国を始め、米国、日本、中国、インドおよびドイツなど世界45か国で使用されています。
また、オステムインプラントは韓国本社および12か所の現地法人を含めて急速に成長中。韓国国内市場では1位にランキングされたインプラントメーカーです。そして、アジア環太平洋地域では1位、世界の歯科インプラント市場でも6位のシェアを有します。


| 概要 | 治療期間:3ヶ月 治療回数:5回 治療費用:¥490,000(インプラント)/¥132,000(セラミックスインレー2本) |
|---|---|
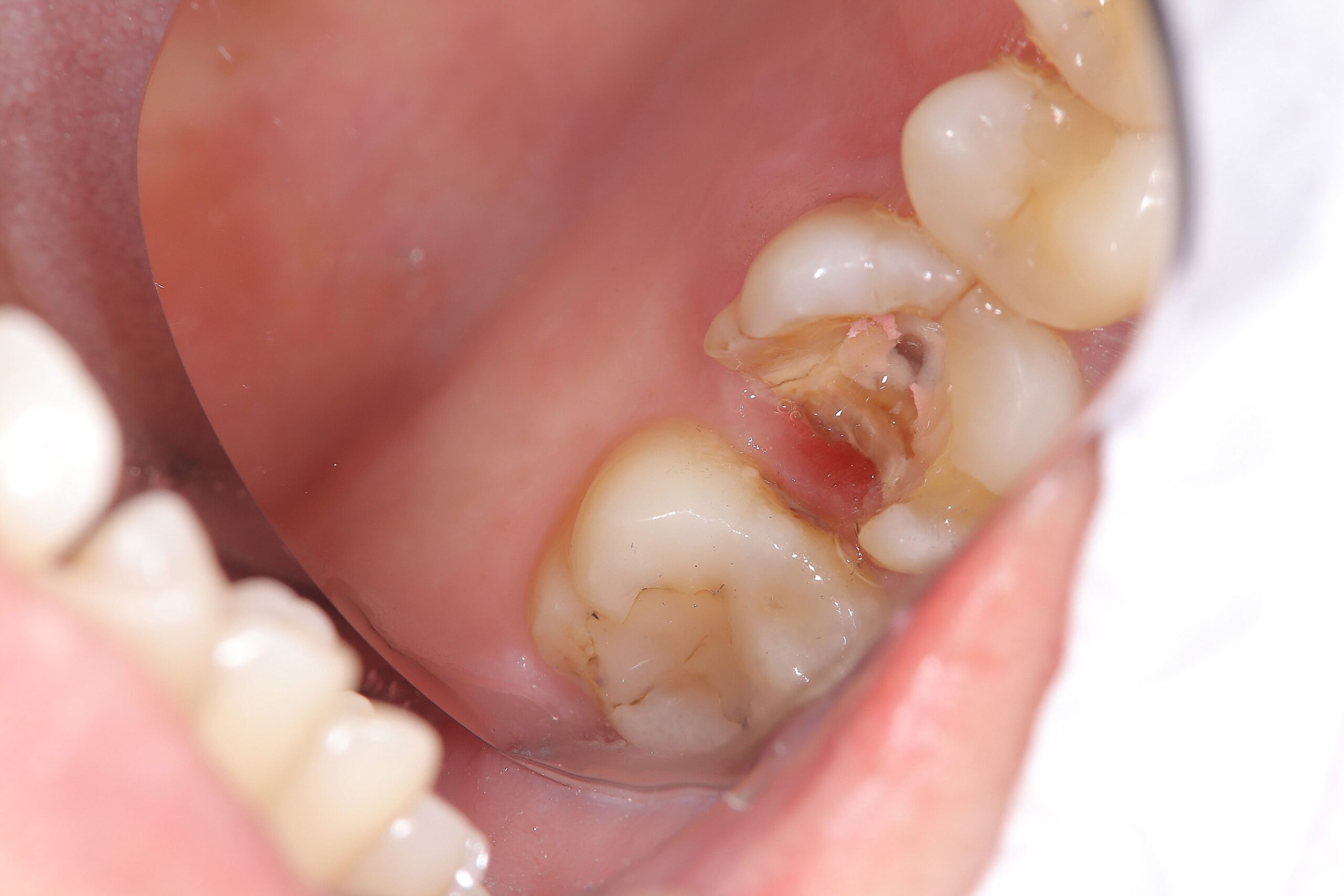
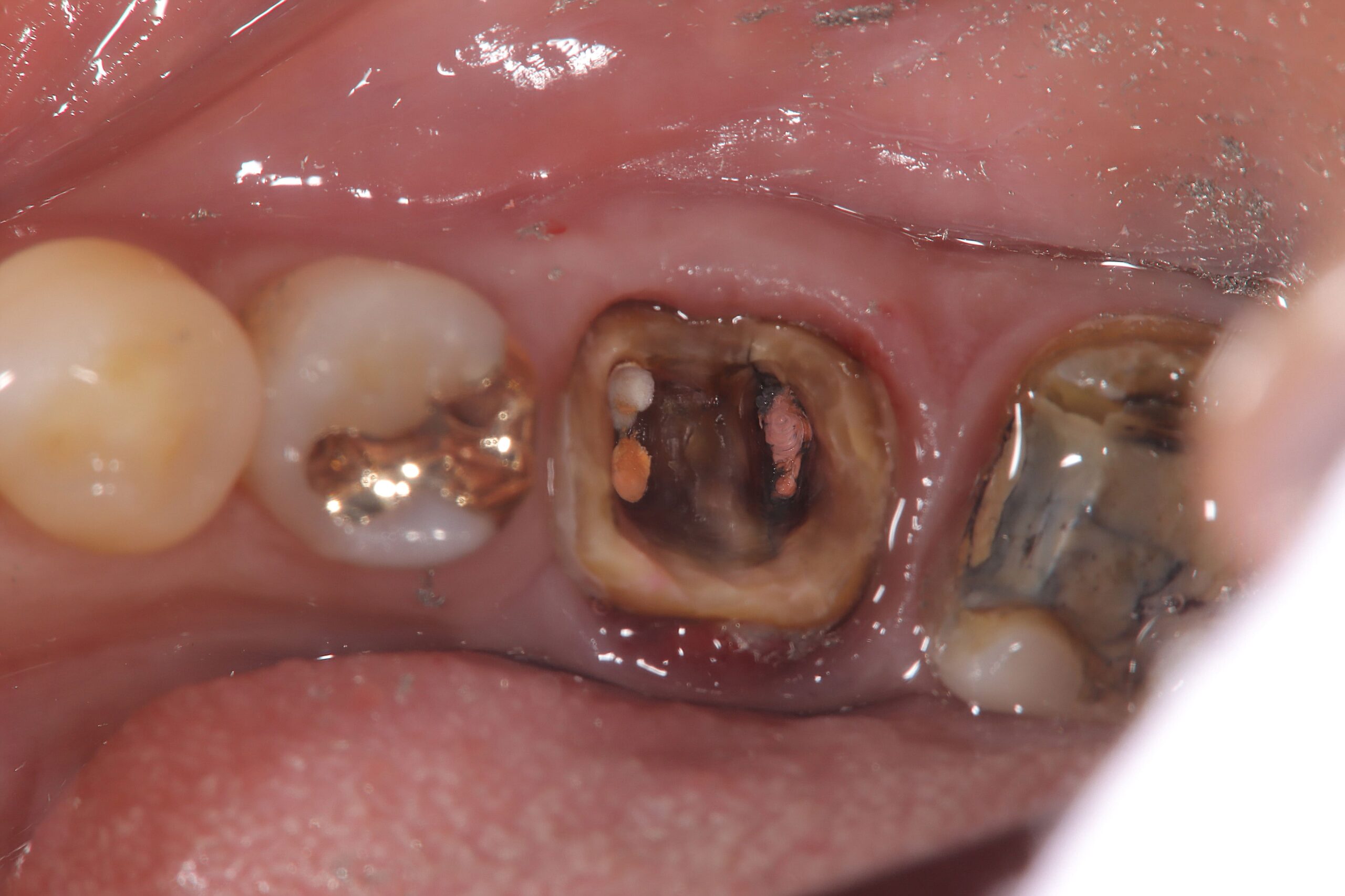
| 口腔内術前 | 左下奥歯の不良補綴物が認められる |
| 口腔内術後 | セラミックス修復、インプラント修復 治療回数4回 |
| 副作用・リスク | インプラントはご自身の歯より、しっかりとしたメンテナンスが必要です。 |


| 治療内容 | インプラント治療、骨増生術、審美修復治療 |
|---|---|
| 治療詳細 | ケガによって左上の前歯が折れてしまったため、歯を抜いたその日にインプラント治療と、あごの骨を補う処置を行い、見た目と噛む機能の回復を図りました。 |
| 治療期間・通院回数 | 治療期間:約9か月 通院回数:約6回(2か月に1回程度) |
| 治療費総額(税込) | 治療費総額:665,000円(税込) |
| 副作用・リスク |
|


| 治療内容 | インプラント治療、審美修復治療 |
|---|---|
| 治療詳細 | 右上の奥歯の根が割れてしまったため、歯を抜いてしばらく治癒を待ってから、インプラント治療を行い、見た目と噛む力を回復させました。 |
| 治療期間・通院回数 | 治療期間:約6か月 通院回数:約4回(2か月に1回程度) |
| 治療費総額(税込) | 治療費総額:550,000円(税込) |
| 副作用・リスク |
|


| 治療内容 | インプラント治療、審美修復治療 |
|---|---|
| 治療詳細 | 左上の奥歯(第二小臼歯)の根が折れていたため、歯を抜いてしばらく回復を待った後にインプラント治療をして、見た目と噛む力を回復させました。 |
| 治療期間・通院回数 | 治療期間:約6か月 通院回数:約4回(2か月に1回程度) |
| 治療費総額(税込) | 治療費総額:550,000円(税込) |
| 副作用・リスク |
|


| 治療内容 | インプラント治療、骨増生術、審美修復治療 |
|---|---|
| 治療詳細 | ケガによって左上の前歯(中切歯)が折れてしまったため、歯を抜くのと同時にインプラント治療と骨を補う処置(骨増生)を行い、見た目と噛む力を回復させました。 |
| 治療期間・通院回数 | 治療期間:約9か月 通院回数:約6回(2か月に1回程度) |
| 治療費総額(税込) | 治療費総額:665,000円(税込) |
| 副作用・リスク |
|


| 治療内容 | インプラント治療、歯茎の移植、審美修復治療 |
|---|---|
| 治療詳細 | 左下の奥歯(第一大臼歯)の根が折れていたため、歯を抜いて一定期間待った後にインプラント治療を行いました。 歯ぐきが下がっていて歯みがきがしにくい状態だったため、歯ぐきの移植もあわせて行い、見た目と噛む力を回復させました。 |
| 治療期間・通院回数 | 治療期間:約6か月 通院回数:約4回(2か月に1回程度) |
| 治療費総額(税込) | 治療費総額:665,000円(税込) |
| 副作用・リスク |
|
詳しい検査と診断を行い、患者様のご希望や口腔内の状態を確認します。CTやレントゲン検査の結果をもとに、最適な治療計画を立案し、治療方法や期間、費用についてご説明いたします。
骨の状態や位置関係を詳しく確認し、以下の2つの治療方法のいずれかをご提案させていただきます。
インプラントを埋入し、即日に仮歯まで作製し、噛む機能を回復します。治癒期間は2~3ヶ月待ち、最終の被せ物を装着していきます。
骨の状態が良好で、初期固定が十分に得られる場合に選択できる治療方法です。手術当日から仮歯を装着できるため、見た目や機能の回復が早いのが特徴です。
天然歯と見分けのつかない人工歯をインプラントに装着し、噛み合わせの最終調整を行います。また、お手入れの方法についても詳しくご説明いたします。
インプラントを長期的に維持するためには、定期的なメンテナンスが重要です。3~4ヶ月ごとの定期検診で、インプラント周囲の状態や噛み合わせをチェックし、必要に応じてクリーニングを行います。
A.インプラント治療の利点は、人工歯をしっかりと固定できることです。インプラント治療においては、残っている歯を削ったり、残っている歯に人工歯を安定させるための装置を付けたりすることはしません。残っている歯に負担をかけずに治療を行うことができることも、インプラント治療の利点です。
インプラント治療は、総入れ歯や部分入れ歯よりも噛む機能の回復に優れています。また異物感が少なく、患者さまの満足度が高い治療法になっています。
A.インプラントを埋入するための手術を受ける必要があるため、全身健康状態が良くない場合には適用が難しいこと、治療期間が長いこと、治療費が高額であることがあげられます。現在のインプラントは骨に結合するのですが、粘膜との結合が強くないため、天然の歯に比較すると感染に弱いこともデメリットです。さらに、インプラント埋入予定部位に骨が十分に存在しない場合、治療が困難であることがあります。
A.インプラント自体は適切なケアを行えば10年以上機能することが多く、20年以上使われている例もあります。ただし、日々のメンテナンスと定期的な歯科受診が必要です。
A.通常のインプラント治療には健康保険が適用できません。全額患者さま負担の自費診療となりますので、治療費は高額になります。 調査では約50〜100万円という方がもっとも多くなっています(2019国民生活センター)。
当医院ではインプラント費用の中に手術費用、仮歯の費用、被せ物費用、CT撮影費用を含んでおりますので、治療完了までに他で費用がかかることはありません。
しかし、最近外傷や腫瘍等の病気で顎骨を失った場合や、その部位に骨移植を行って再建した場合、先天的に歯や顎骨を欠損している場合に限って、インプラント治療に健康保険が適用されることになりました。 治療前の検査、インプラントを埋め込む手術、義歯による治療を含めて、治療が全て終了するまでに必要な治療費を、しっかりと確認してから治療を受けるようにしてください。
A.治療を開始から治療終了までの期間は、患者さまの症例によって異なりますが、骨が十分にある場合は、上顎、下顎ともに約2〜3ヶ月となっています。
顎の骨にインプラントを埋めてから、インプラントに骨が結合するためには、一定の期間が必要であり、この期間はインプラントを埋めた部位の骨の状態に大きく影響されます。 また、インプラント治療部位の骨の造成が必要な場合には、さらに治療期間が延びることになります。
A.インプラント埋入手術の際には、歯を抜いたりする時に使用する局所麻酔を使用します。 したがって、手術中に痛みを感じることはほとんどありません。しかし、麻酔効果は一定時間しか持続しませんので、手術後には鎮痛薬(痛み止め)を服用していただきます。術後の痛みは、症例によって異なります。中には、痛みを感じないという方もいらっしゃれば、鎮痛薬を数回服用する程度で、痛みは次第に治まるという方もいらっしゃいます。
A.インプラント治療では、一般的に2種類の治療用金属を使用します。
歯の根の役割をはたす人工歯根と、人工の歯を取り付ける部品です。最近ではこの2つの部品は、医療用の純チタンを使用することが多くなってきました。
医療用のチタンは金属イオンが溶け出さないという特長があり、優れた安全性をもっており、アレルギーが出現する可能性は低いとされています。
そのほかセラミックなど金属アレルギーを防ぐことができる素材の開発が進んでいますから、歯科医とご相談ください。
A.ある調査によると、歯科インプラント治療後10年で1割のインプラントが失われるといわれます(厚生労働省ホームページより)。
治療後の良好な状態を長期維持するためには、定期的な経過観察(メインテナンス)が極めて重要です。 インプラント治療後に起きる問題を未然に防止するため、あるいは問題が起きても早期に解決するためには、メインテナンスが重要です。
A.インプラントは骨としっかりと結合しますが、天然歯と比較すると粘膜との結合が弱いため、感染しやすい欠点があります。歯ブラシやその他の器具を用いた患者さま自身による毎日の口腔ケアが極めて重要です。 さらに、治療後の良好な状態を長期維持するためには、定期的な経過観察(メインテナンス)が不可欠です。 口腔ケア(クリーニング)が十分でない場合あるいはまた定期的なメインテナンスが行われない場合、問題が起きる可能性が高くなります。
※価格は税込み価格となっています
| ストローマン | ¥495,000 |
世界シェアトップクラスの信頼のおけるインプラントメーカーと信頼性・安全性の高いインプラントです。審美性の優れた補綴物を被せ、咬み合わせを確立します。
治療期間…2〜6ヶ月 治療回数…4〜7回
|
|
| インプラント(オステム) | ¥440,000 |
アジアシェアでは1位、世界シェア6位のシェアを有するインプラントメーカーです。信頼性・安全性の高いインプラントです。審美性の優れた補綴物を被せ、咬み合わせを確立します。治療期間…2〜6ヶ月 治療回数…4〜7回
|
|
| インプラントアンカー | ¥33,000 |
矯正治療の際、歯の固定減が少ない場合に一時的に支柱を立てていくのが、インプラントアンカーです。治療期間…2〜6ヶ月 治療回数…2回
|
|
| 上顎洞粘膜挙上術(サイナスリフト) | ¥165,000 |
上顎臼歯部の垂直的な骨の量が少ない部分に、人工骨やフィブリンゲルを入れることで、垂直的な骨量を獲得します。治療期間…6ヶ月 治療回数…2回
|
|
| 完全自己血液由来フィブリンゲル | ¥5,500 |
患者さまご自身から採血した血液を遠心分離させてフィブリンゲルを用いることで、骨再生と皮下組織再生の補助をします。使用する骨補填材の量を減らし、感染のリスクを少なくでき、治癒能力が高まります。治療回数…1回
|
|
| 骨造成手術(GBR) | ¥165,000 |
インプラント治療時に骨が足りない場合に骨を足す処置です。治療期間…6ヶ月 治療回数…2回
|
|
| 増骨材(Bio-oss,FDBA) | ¥55,000 |
骨が足りない場合に骨を足す処置です。
|
|
| メンブレン(遮蔽膜) | ¥33,000 |
骨を造る際にスペースが必要です。そのスペースを維持するために遮蔽膜(メンブレン)を使用します。
|
|
| 軟組織増大手術(FGG,CTG) | ¥110,000 |
歯肉移植術のこと。歯肉が痩せて薄くなっている状態や、歯を抜いた後に陥没した部分がある場合に、他の部位から歯肉を移植する手術です。 治療期間…6ヶ月 治療回数…2回
|
|
予約前にご不安なこと、ご不明点等ございましたら、お電話かLINE相談をご活用ください。
急患の場合は随時、応急処置できる可能性がありますので、お電話ください。