フルマウス(咬合再構成)
咬合再構成とは
歯が残りやすいとされる咬み合わせは、
①咬む位置が安定すること、
②奥歯に負担がかかりにくいこと
といわれています。
局所の歯科治療を全体的に受け続けることは、その時々の咬み合わせで作った補綴物を入れていくことを意味します。
入れていく補綴物は経年的に削れていく傾向が高く、もともと立体的であった歯の形は徐々に平坦化していくこととなります。咬む位置が安定しない、また、奥歯の負担が大きいと、一度つけた詰め物、被せ物が早々に取れたり、自身の歯では歯が割れたりかけたりしていきます。これ以上崩壊の一途を辿らないように、より安定する補綴物を作り、咬み合わせの安定を計ります。
歯の治療は家と同じで、土地を整え、地盤を固めてから柱を立てて、骨組みをしっかり立て、屋根を作って行きます。
しっかりとした家を建てるには、きちんとした設計図面が必要なのと同じく、歯科治療におけるその役割が治療計画です。それには、様々な情報を記録する資料採得、咬合器につけた模型での咬み合わせ診断、理想的な咬み合わせを具現化していきます。また、最終被せ物が安定するかを判定する仮歯を入れ、最終被せ物へと移行します。補綴物によりトラブルが出にくい咬み合わせを作ることにより、今後の再治療のリスクを減らします。
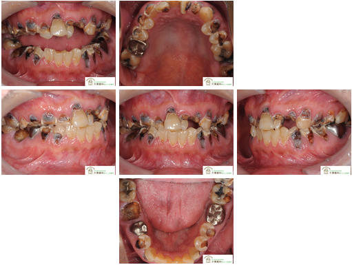
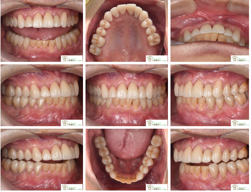
咬合再構成症例
Before
After
| 概要 | 治療回数:70回 治療費用:¥4917,000 |
|---|---|
| 口腔内術前 | 全体的に虫歯による咬合崩壊が認められます |
| 口腔内術後 | 治療後定期的な咬合の管理が必要です。 |
| 副作用・リスク | 矯正治療、インプラント修復、ジルコニアクラウン修復 治療期間6年 |




