ceramic
審美セラミック治療
セラミックでワンランク上の優越感
~見た目も心も踊る~
美しい歯は、第一印象を大きく左右する重要な要素です。歯並びや色調の美しさは、笑顔に自信を与え、コミュニケーションをより豊かなものにしてくれます。
当院のセラミック治療は、見た目の美しさだけでなく、機能性と耐久性を兼ね備えた、より質の高い治療を目指しています。
また、単に白く美しい歯を目指すだけでなく、患者様お一人おひとりの年齢や顔立ち、個性に合わせた自然な仕上がりを大切にしています。マイクロスコープを使用した精密な治療と、院内の熟練した歯科技工士による丁寧な製作により、長期的に安定した審美性を実現します。
このような方におすすめ
- 銀歯の見た目が気になる
- 芸能人みたいキレイな歯にしたい
- 前歯の色・形が気になる
- 歯のガタガタを治したい
- スキッ歯を治したい
- 八重歯、出っ歯を治したい
当院が選ばれる理由
-
フルオーダーメイド
審美歯科とはいえ、ただ単に見た目を綺麗にするだけでなくはなく、大事なことはその治療した後どれだけ健康で長持ちするかということも大事です。
歯は人それぞれ色・形などが全く違います。またその歯が治療に至る経緯も千差万別です。
当院では色、形、磨けるかどうか、その被せ物が長持ちするのかどうかしっかり見定めながら診断した上で患者様ごとの治療計画を立てております。 -
マイクロスコープによる精密治療
歯科の医療機器は日々進歩しております。しかし、新しいからといって決してより良いものとは限りません。また、医療機器を購入したからといって、高精度の医療を提供できるというわけではありません。
当院では、その分野に適した高精度の医療機器を使いこなした上で、患者様の状況に応じて最善の治療を行います。 -
包括的な視点を見据えた治療
セラミック治療は、単に見た目を改善するだけでなく、お口全体の健康を考慮して行う必要があります。当院では、初診時にカウンセラーが詳しく説明を行い、その後トリートメントコーディネーターが診断結果に基づいた治療計画をご提案します。
-
院内技工の完備
当院の歯科技工室は、自費診療専門の施設として高品質なセラミック製作に特化しています。各歯科技工士に技工用マイクロスコープを配備し、個室のセラミック焼成室も完備。歯科技工士は定期的に勉強会に参加し、最新の技術や知識の習得に努めています。 保険診療の技工物は外部に委託し、院内技工室では自費診療のセラミックに専念することで、より高度な技工技術の追求が可能となっています。
歯科用セラミックスの特徴
-
透明感のある自然な白さと質感を実現可能
天然の歯は、よく見ると単色ではなくグラデーションがかかっています。また、その歯の色味や表面の質感は、人それぞれの歯の個性であり、この世に全く同じ歯など存在しないと言えます。
-
経年的に変色することがなく、いつまでも美しい
金属やプラスチック(樹脂)は経年的に、劣化していきます。
唾液の働きにより、金属は金属イオンとして溶け出し表面はくすんでいき、プラスチック(樹脂)は匂いや汚れを吸い取り変色していきます。 しかし、セラミックスは唾液の働きにより溶けでるものがないので、経年的に変色しません。 -
細菌が付着しにくく、衛生的で虫歯の再発リスクが低い
日常使う食器を例に挙げると、油汚れがついた食器を洗剤とスポンジを使い洗えば、表面の汚れはすぐに取れ、キュッキュと音がなるくらいにツルツルになります。
これは、食器の表面がツルツルで劣化していかないので、ついた汚れをすぐ取ることができるのです。 実際、口の中は細菌がたくさんいますので、汚れがつきにくい材質であるセラミックスは衛生的で、虫歯の再発リスクを少なくすることができます。 -
体に優しい
金属は溶出した金属イオンによって感作され、再度同じ金属に触れたときに、アレルギー性疾患を生じることが稀にあります。
プラスチック(樹脂)は口の中で、経年的に劣化し、柔らかいので削れていきます。セラミックスは溶け出るものが全くないので、体に害がありません。 また、金属に比べて熱伝導率が低く、歯熱伝導率に近似しています。つまり、神経に対しての刺激は天然の歯と同程度にすることができます。治療後のしみるといった不快症状を軽減してくれます。
セラミックスの種類
オールセラミック
金属を一切使用せず、セラミックのみで作製する補綴物です。審美性に優れ、金属アレルギーの心配もありません。
メリット
- 天然歯のような自然な透明感を実現
- 金属アレルギーの心配がない
- 経年的な変色や金属の変色による歯肉の着色がない
など
デメリット
- 金属を使用した補綴物と比べて強度がやや劣る
- 保険適用外(自費診療)
- 歯を多めに削る必要がある場合がある
など
ジルコニア
高い強度と優れた審美性を併せ持つセラミック材料です。特に奥歯の補綴に適しています。
メリット
- セラミックの中で最も高い強度を持つ
- 金属アレルギーの心配がない
- 耐久性に優れている
- 歯の切削量を最小限に抑えられる
など
デメリット
- 他のセラミックと比べて透明感がやや劣る
- 保険適用外(自費診療)
- 色調の微調整が難しい
など
e-max
透明感のある自然な見た目を実現できる材料です。前歯部の審美修復に適しています。
メリット
- 優れた透明感と自然な光の透過性
- 天然歯に近い見た目を実現
- 適度な強度がある
- 薄い厚みでも製作可能
など
デメリット
- 他ジルコニアと比べると強度が劣る
- 奥歯での使用には適さない場合がある
- 歯ぎしりの強い方には不向き
など
ラミネートベニア
歯を最小限しか削らずに審美性を改善できる治療方法です。薄いセラミックを前歯の表面に接着します。
>ラミネートべニアはこちら
メリット
- 歯の切削量が最小限
- 短期間での治療が可能
- 天然歯の形態をほぼ保存できる
- 治療後の違和感が少ない
など
デメリット
- 歯の変色が強い場合は適さない
- 噛み合わせが深い場合は適応が難しい
- 歯ぎしりがある場合はリスクが高い
など
ダイレクトボンディング
その場で形を整えられる特殊な樹脂を使用する治療方法です。セラミックと比べてより保存的な治療が可能です。
>ダイレクトボンディングはこちら
メリット
- 歯の切削が最小限(または不要)
- 当日での治療完了が可能
- 修正や再治療が容易
- 比較的安価
など
デメリット
- セラミックと比べて耐久性が劣る
- 経年的な変色の可能性がある
- 大きな欠損への対応は難しい
- 定期的なメンテナンスが必要
など
前歯のセラミック
前歯は見た目に大きく影響する部分であり、自然な透明感と色調の再現が重要です。当院では、マイクロスコープを使用した精密な治療と、歯科技工士の高い技術力により、違和感のない美しい仕上がりを実現します。
奥歯のセラミック
奥歯は強い咬合力がかかるため、特に強度と適合精度が重要になります。当院では、症例に応じて最適な材料を選択し、機能性と審美性を両立した治療を提供いたします。
セラミック症例
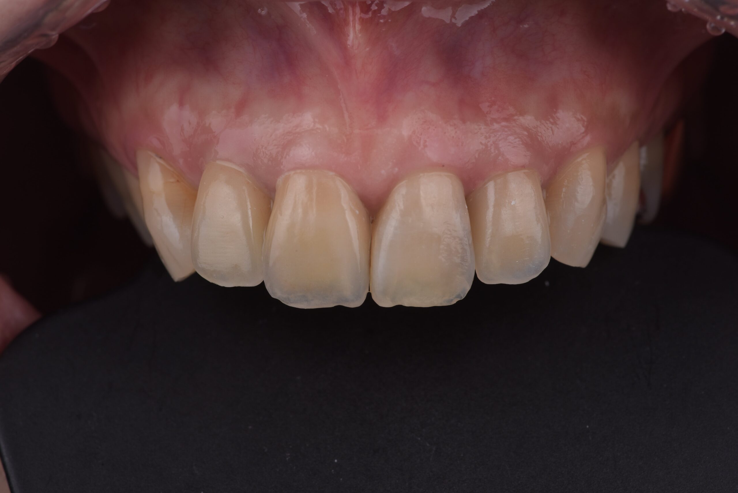
症例①
Before
After
| 治療内容 | コンポジットレジン充填(自費) |
|---|---|
| 口腔内術前 | 右上前歯の歯質の欠損 |
| 口腔内術後 | マイクロスコープ を用いた自費コンポジットレジン充填 治療回数1回 |
| 概要 | 治療期間:1日 治療費用:55,000円 |
| 副作用・リスク | 歯軋りが強い方や咬む力が強い方は歯が欠けるのと同様に欠けてしまいます。 経年的に変色する場合がございます。 |
症例②
Before
After
| 治療内容 | セラミック修復 |
|---|---|
| 口腔内術前 | 左上前歯の変色歯を主訴に来院された。原因は神経が死んだことによる歯の変色。 |
| 口腔内術後 | 根の中の掃除を行い、仮歯を作成しウォーキングブリーチ(神経が死んだ歯の漂白)を行った。仮歯で理想的な形を患者さまにも確認していただき、セラミックスクラウンで修復した。 |
| 概要 | 治療期間:約3ヶ月 治療回数:4回 治療費用:176,000円 |
| 副作用・リスク | ・セラミック治療は保険適用外・自費診療となります。 ・健康な歯、天然歯を削る必要があります。 ・歯の状態によっては神経を治療が必要な場合があります。 ・強い力をかけると割れる(欠ける)可能性があります。 ・ウォーキングブリーチ法には適応があります。 |
症例③
Before
After
| 治療内容 | セラミック修復 |
|---|---|
| 口腔内術前 | 不適合な修復物による審美不良、歯ぐきの変色が認められる |
| 口腔内術後 | 虫歯除去しながら仮歯を作成、根の中の掃除を行い歯根端切除術を行った。最終的な歯の大きさを理想的にするために歯冠長延長術を行い仮歯の修正を行った。歯ぐきの色の改善を行うためにガムブリーチを行い、被せ物はセラミックス修復(前歯4本)、ラミネートベニア修復(前歯2本)を行った。 |
| 概要 | 治療期間:約6ヶ月 治療回数:15回 治療費用:704,000円 |
| 副作用・リスク | ・セラミック治療は保険適用外・自費診療となります。 ・健康な歯、天然歯を削る必要があります。 ・歯の状態によっては神経を治療が必要な場合があります。 ・強い力をかけると割れる(欠ける)可能性があります。 ・歯周外科処置を行うことで、歯を支えている骨や歯ぐきを一部切除したり削ったりします。 ・ガムブリーチの薬剤の作用により一時的にピリッとした症状が術後生じます。 |
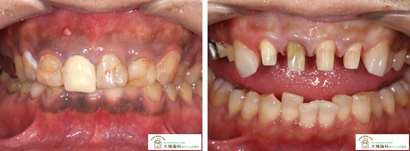
症例④
Before
After
| 治療内容 | セラミックスクラウン |
|---|---|
| 治療詳細 | 上顎前歯の被せものをやり変えたいとのことで治療を希望されました。 被せ物を外し、土台を整え、仮歯を作成しました。仮歯にて形、色、磨きやすさの調整を行ったのち、最終の被せ物を装着しました。 |
| 治療期間・通院回数 | 治療期間:約2か月 通院回数:約6回(2週間に1回程度) |
| 治療費総額(税込) | 治療費総額:308,000円(税込) |
| 副作用・リスク |
|
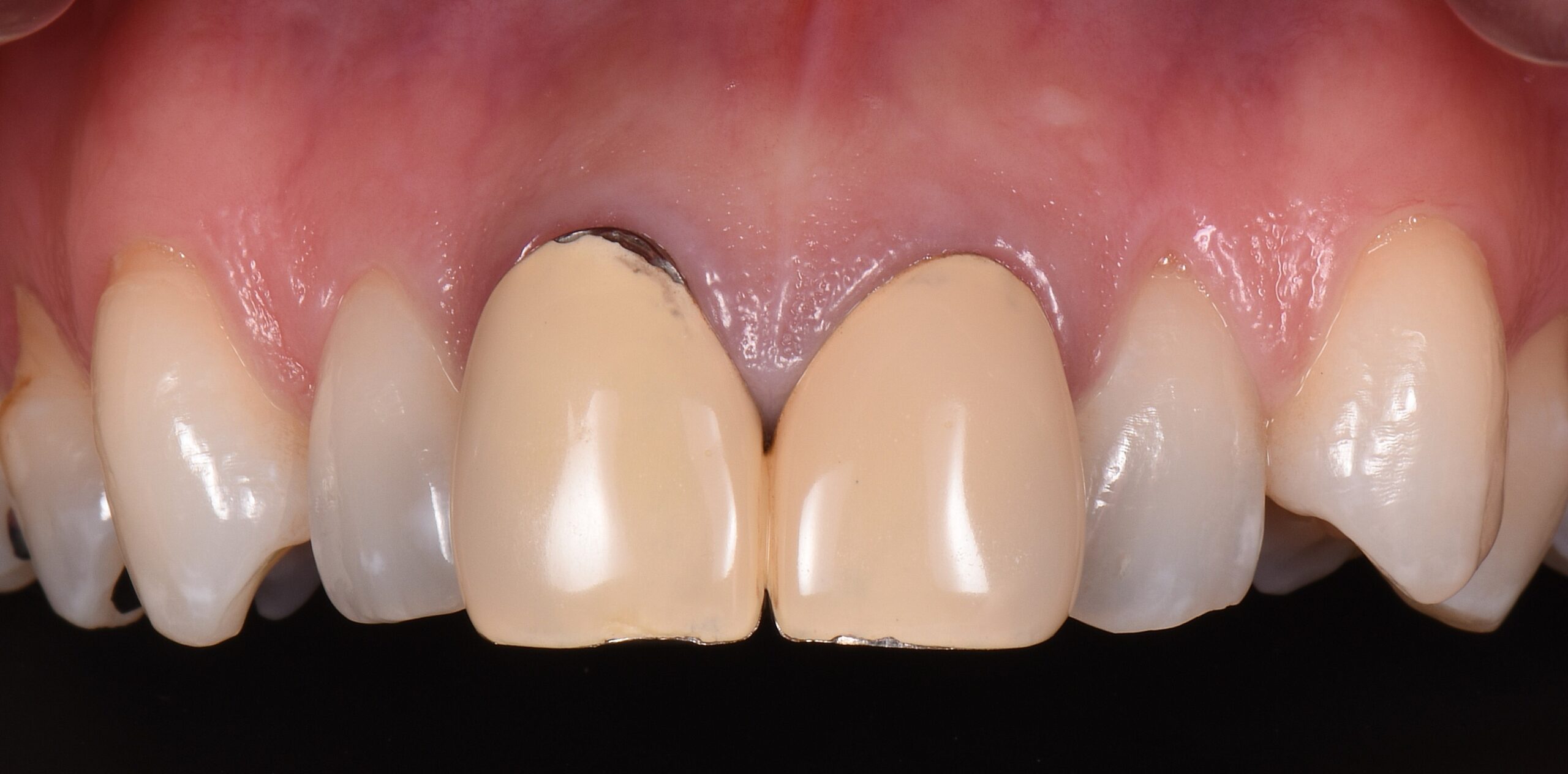
症例⑤
Before
After
| 治療内容 | セラミックスクラウン |
|---|---|
| 治療詳細 | 上顎前歯の被せものをやり変えたいとのことで治療を希望されました。 被せ物を外し、土台を整え、仮歯を作成しました。仮歯にて形、色、磨きやすさの調整を行ったのち、最終の被せ物を装着しました。 |
| 治療期間・通院回数 | 治療期間:約3か月 通院回数:約8回(2週間に0回程度) |
| 治療費総額(税込) | 治療費総額:466,000円(税込) |
| 副作用・リスク |
|
症例⑥
Before
After
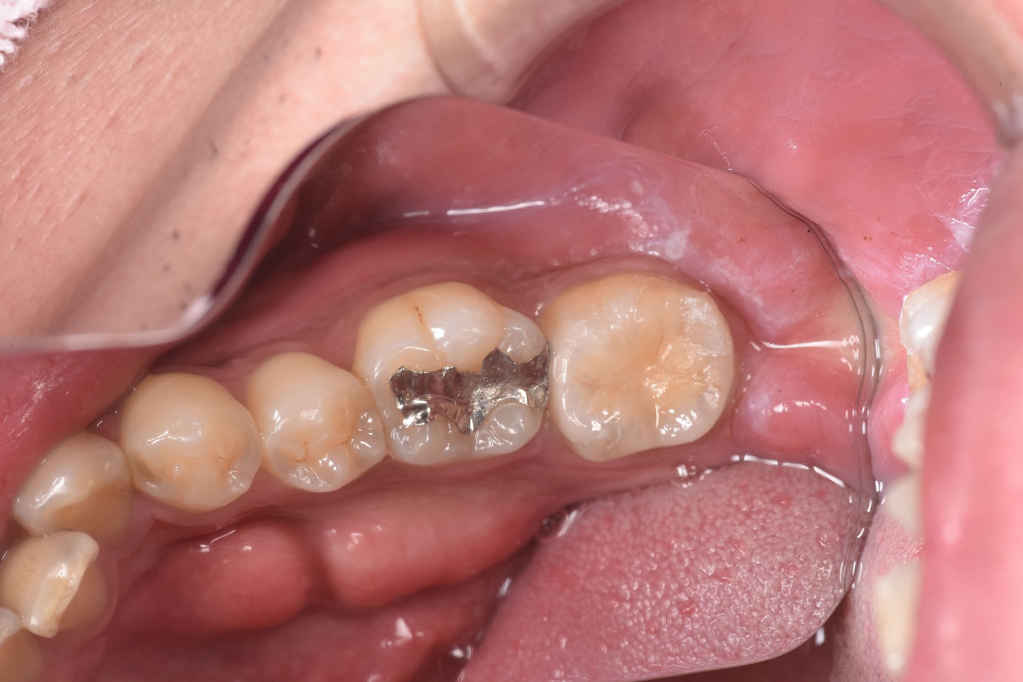
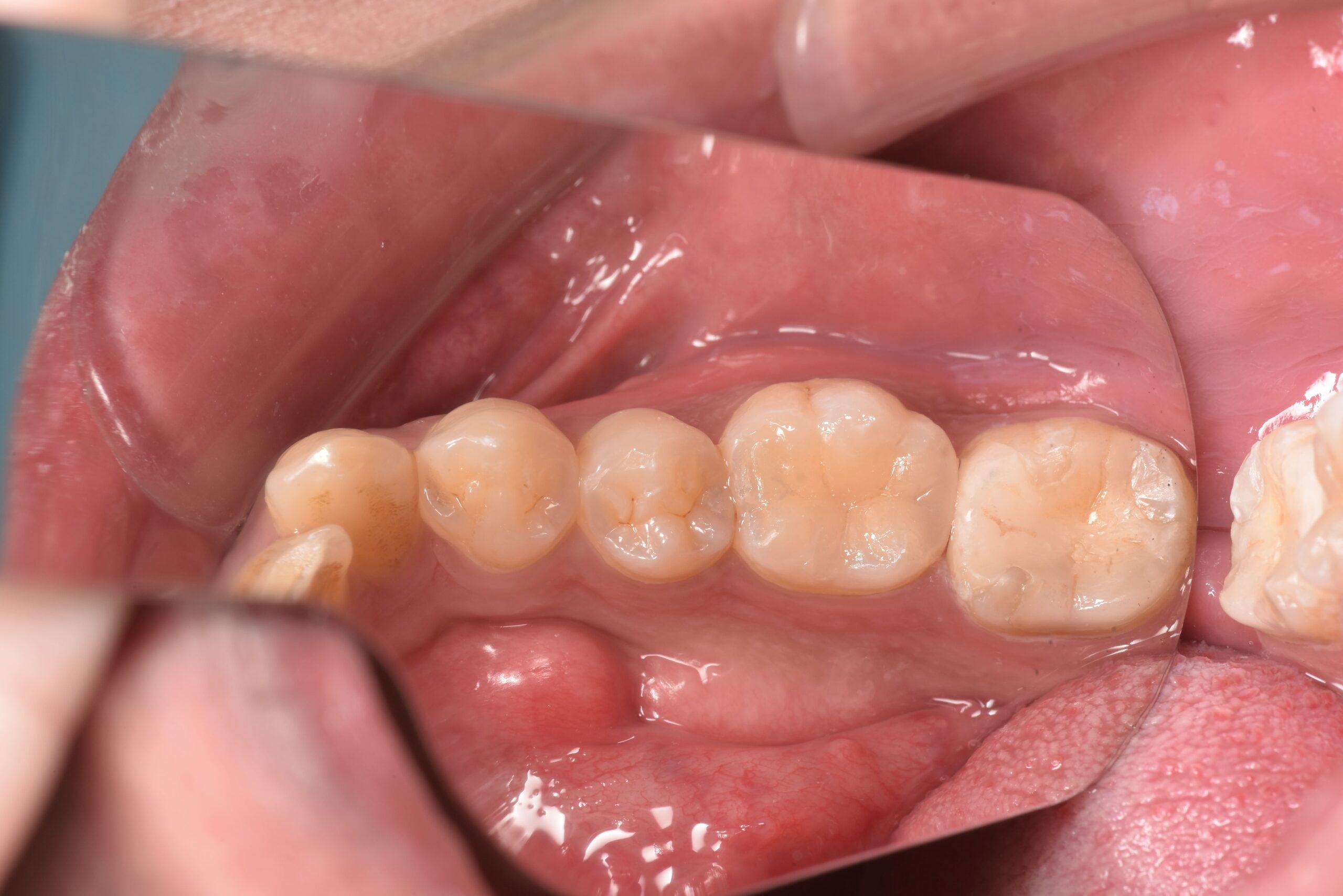
| 治療内容 | セラミックスインレー |
|---|---|
| 治療詳細 | 左下第一大臼歯の見た目が気になるとのことで治療を希望されました。 詰め物を外し、形を整え、型どりを行い、技工士さんの手で作られたセラミックスの詰め物を接着いたしました。 |
| 治療期間・通院回数 | 治療期間:約1か月 通院回数:約2回(2週間に0回程度) |
| 治療費総額(税込) | 治療費総額:66,000円(税込) |
| 副作用・リスク |
|
症例⑦
Before
After
| 治療内容 | セラミックスインレー |
|---|---|
| 治療詳細 | 左下第一大臼歯の見た目が気になるとのことで治療を希望されました。 詰め物を外し、形を整え、型どりを行い、技工士さんの手で作られたセラミックスの詰め物を接着いたしました。 |
| 治療期間・通院回数 | 治療期間:約1か月 通院回数:約2回(2週間に1回程度) |
| 治療費総額(税込) | 治療費総額:66,000円(税込) |
| 副作用・リスク |
|
よくある質問
A.審美歯科治療は健康保険が適用されません。健康保険適用の基準を満たしていないからです。健康保険適用の基準を簡単に説明すると、「健康目的のために必要でなおかつ最低限の治療」です。いずれの審美歯科治療もこの基準を満たしておらず、そのため健康保険が適用されないのです。
A.一般歯科とは保険が適応され、むし歯や歯周病の治療、噛み合わせを良くするなどの機能的な部分の改善を主の目的とする歯科治療です。 一方審美歯科とは、「歯を白くしたい」「歯並びをきれいに整えたい」などの見た目の美しさを追求する審美的観点をプラスし、機能面の改善も併せて整えることを目的とする歯科治療です。
A.当院では徹底的に精度にこだわるので、10日~2週間かかります。
A.噛む力や歯ぎしり等の衝撃に対しては割れるリスクはゼロではありませんが、当院では患者様特有の材質を選択することでそのリスクを軽減できます。
A.基本的には変色しません。変色しないように当院では徹底的に色にもこだわります。
A.歯の神経の有無に関わらず、セラミッククラウンを被せることはできます。
A.前歯を削り適したサイズのセラミッククラウンを被せることで、歯並びを整えながら歯の大きさや形を整えることは可能です。
審美セラミック治療の流れ
-
STEP1
模型上でイメージの共有を行います。
見た目や磨きやすさを考慮した形を模型上で患者様と歯科医師・歯科技工士とイメージで共有いたします。 -
STEP2
共有したイメージ通りの仮歯を装着します。
共有したイメージの仮歯を装着し、患者様に見た目の確認を行なっていただき、歯科医師・歯科衛生士がしっかり磨けているかを確認いたします。 -
STEP3
色調のカウンセリングを行います。
歯科技工士立会いのもと患者様と歯科医師と色調のカウンセリングを行います。 -
STEP4
被せ物の試適(一度口腔内に試し入れをする)を行います。
被せ物を試し入れし、適合度合いの確認や患者様に鏡を見ながら色調の確認を行います。
適合度合いが良くない場合や、色調に問題がある場合は再製作いたします。 -
STEP5
被せ物を最終装着します。
患者様に納得いただけた場合に、最終装着します。
料金
インレー
※価格は税込み価格となっています
| インレー | セラミックス インレー | ¥66,000 |
|---|---|---|
セラミック製の詰め物です。色・質感共に天然歯に近い材質で、見た目も良く、強度もあり。汚れがつきにくいため、虫歯になりにくいです。金属アレルギーの心配ありません。治療期間…7日程度 治療回数…2回
|
||
| ゴールド インレー | ¥66,000 | |
金合金製の詰め物です。銀と比べ金には柔らかさがあるため、歯との適合性も良く、最も虫歯になりにくい詰め物。色が金属色のため、口を開けると目立つことがあります。治療期間…7日程度 治療回数…2回
|
||
| セレック インレー | ¥44,000 | |
「セレック」というコンピュータ制御によって歯の修復物を設計・製作。CAD/CAMシステムで作るセラミック製の詰め物です。見た目は白くできますが、セラミックスインレーに比べて見た目・強度・適合度合いが少し劣ります。治療期間…1日程度 治療回数…1〜2回
|
||
クラウン
※価格は税込み価格となっています
| クラウン | オールセラミックス クラウン | ¥154,000 |
|---|---|---|
セラミック製の被せ物です。色・質感共に天然歯に近い材質のため、見た目も良く、強度もあり。汚れがつきにくいため、虫歯になりにくいです。金属アレルギーの心配ありません。治療期間…1ヶ月程度 治療回数…4〜6回
|
||
| メタルボンド クラウン | ¥154,000 | |
金属とセラミックによる被せ物です。見た目は良いですが、中に金属が入っているので透過性が薄くよく見ると天然歯とは違いが分かることもあり、オールセラミックにはやや劣ります。治療期間…1ヶ月程度 治療回数…4〜6回
|
||
| ジルコニア クラウン | ¥154,000 | |
セラミック製の被せ物です。オールセラミックスと比べて、見た目は少し劣りますが、強度ははるかに優れています。咬み合わせが強い方にオススメしています。治療期間…1ヶ月程度 治療回数…4〜6回
|
||
| ゴールド クラウン | ¥132,000 | |
金合金の被せ物です。金の性質上しなやかさがあるため、歯との適合性も良く最も二次カリエス(むし歯の再発)になりにくい被せ物です。色が白ではないので口を開けるとやや目立つこともあります。治療期間…1ヶ月程度 治療回数…4〜6回
|
||
| ラミネートベニア | ¥132,000 | |
歯の表面を薄く削り、薄いセラミックを貼り付ける治療法です。従来の被せ物に比べると歯を削る量が少なく、見た目を改善できます。(注)咬み合わせや歯の色が悪い方には、施術できない可能性があります。治療期間…2週間程度 治療回数…3回
|
||
| セレック クラウン | ¥110,000 | |
「セレック」というコンピュータ制御によって歯の修復物を設計・製作。CAD/CAMシステムで作るセラミック製の被せ物です。見た目は白くできますが、セラミックスクラウンに比べて見た目・強度・適合度合いが少し劣ります。治療期間…10日程度 治療回数…1〜2回
|
||
ご相談はお気軽に
予約前にご不安なこと、ご不明点等ございましたら、お電話かLINE相談をご活用ください。
急患の場合は随時、応急処置できる可能性がありますので、お電話ください。
















