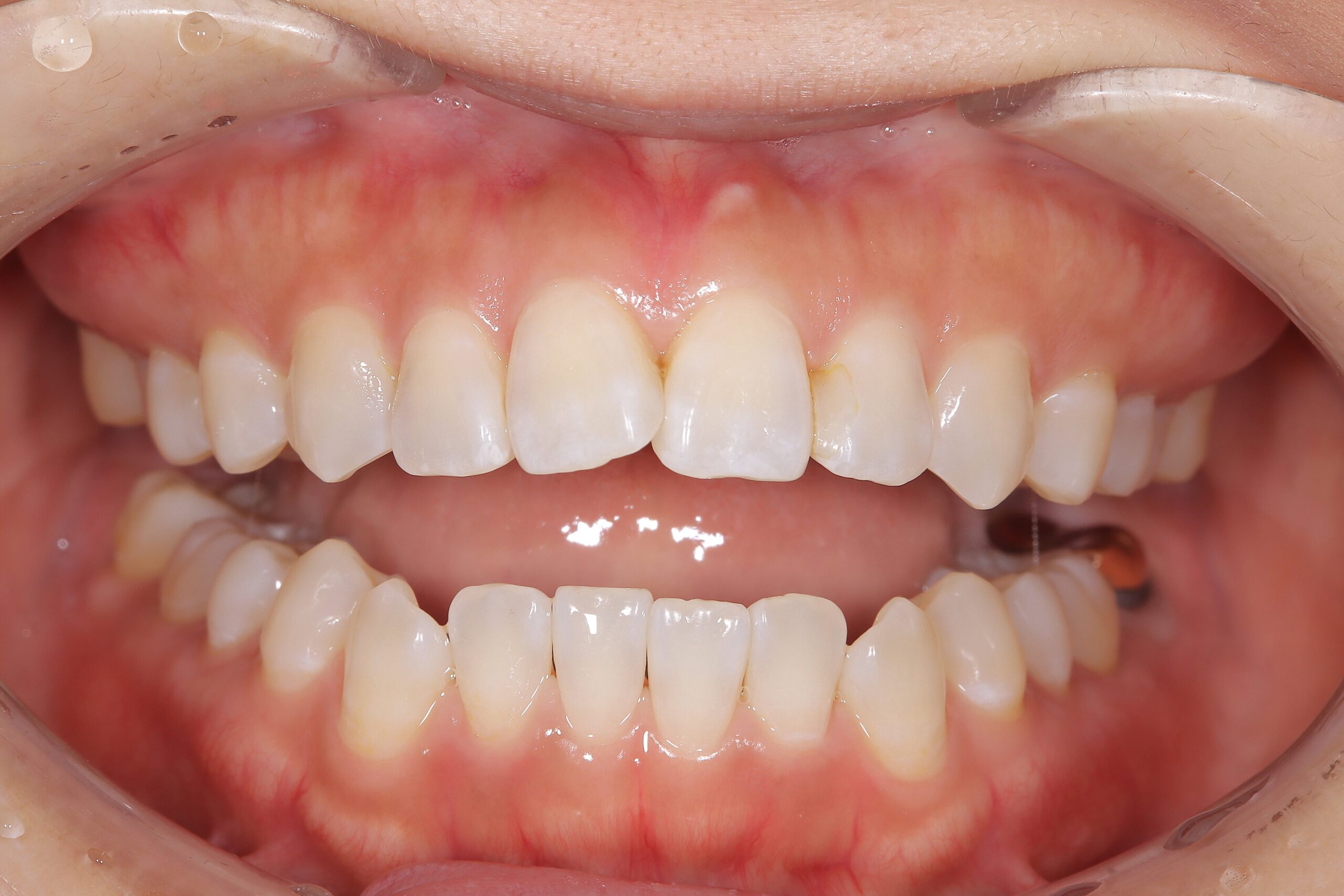
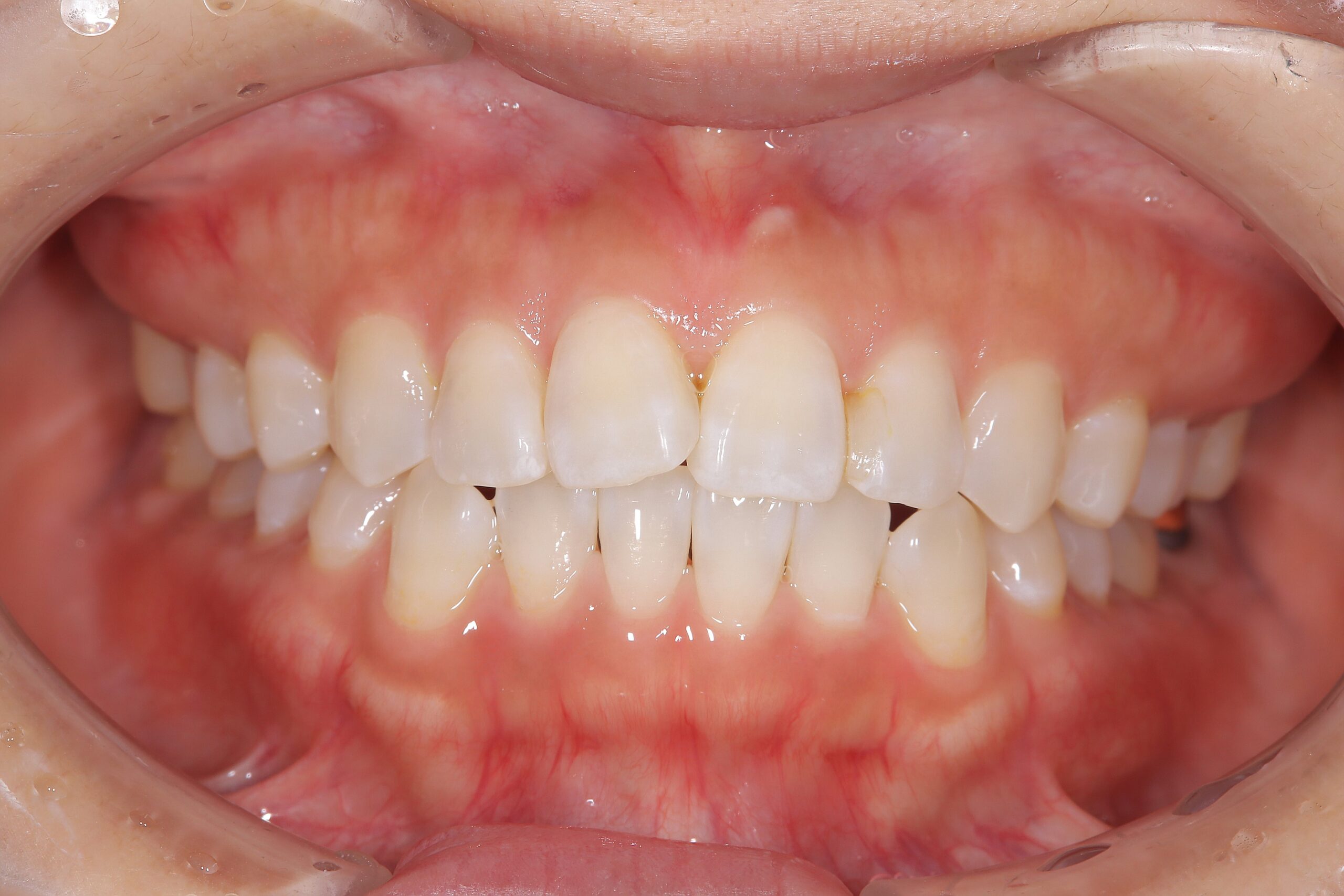
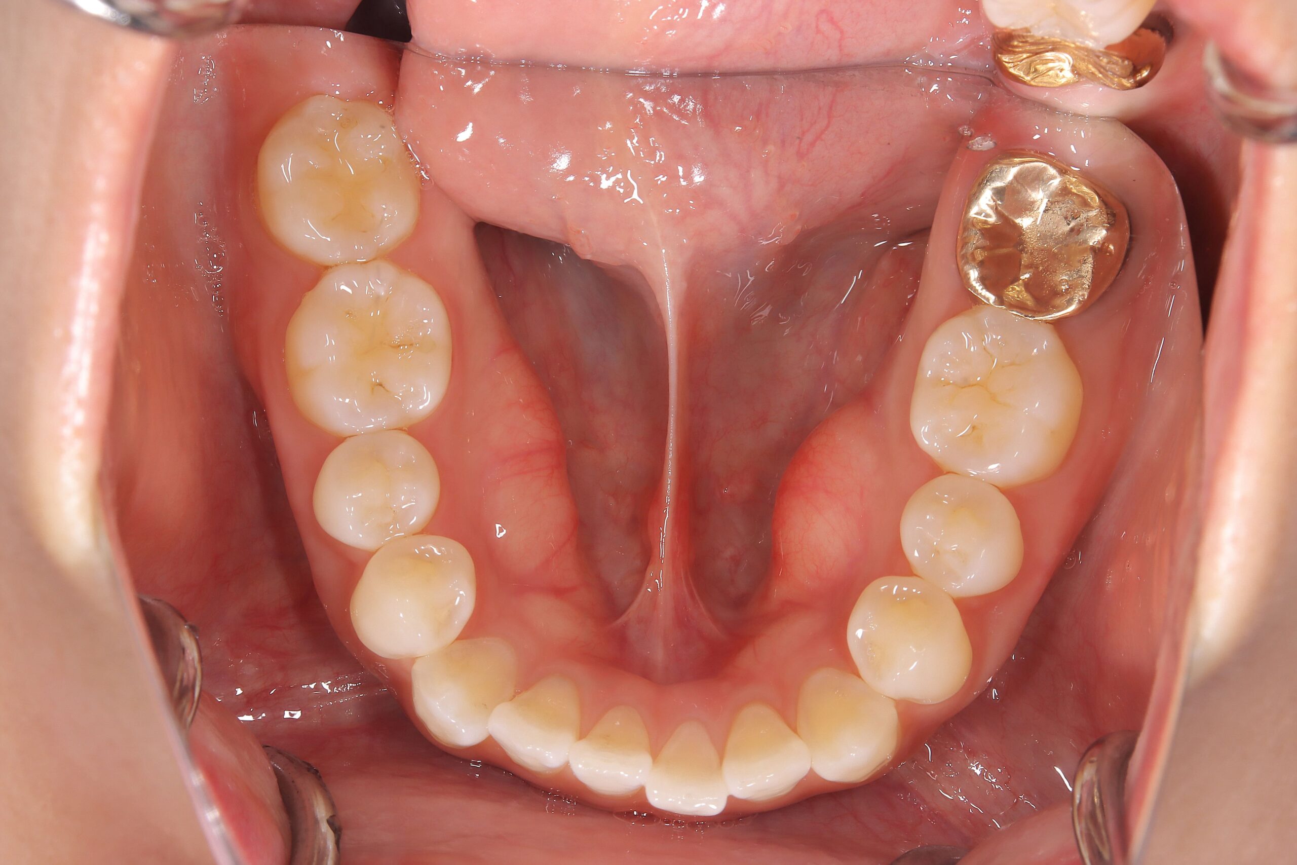
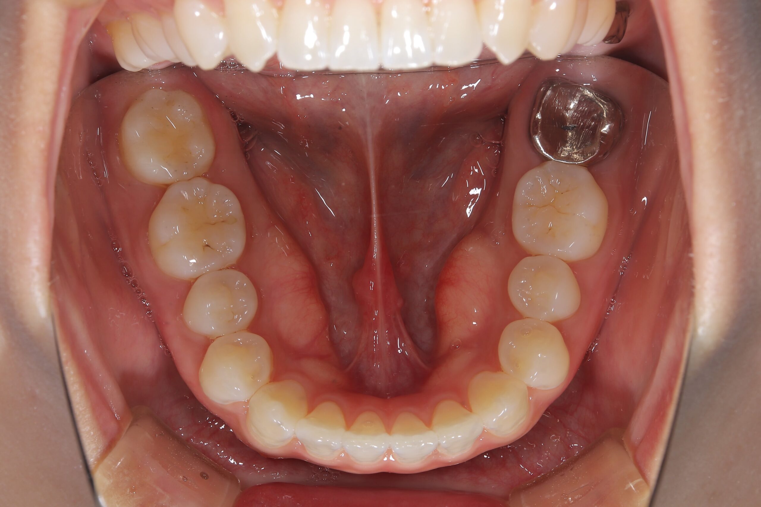
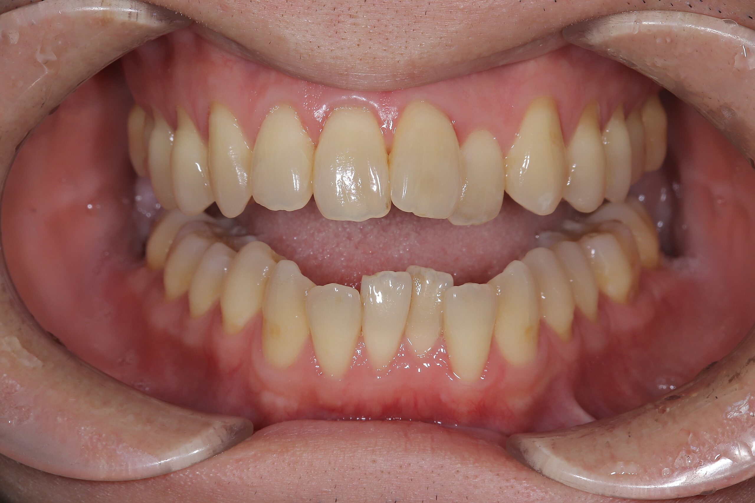
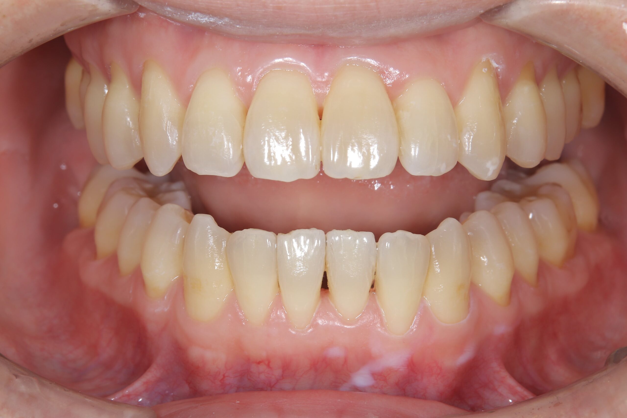
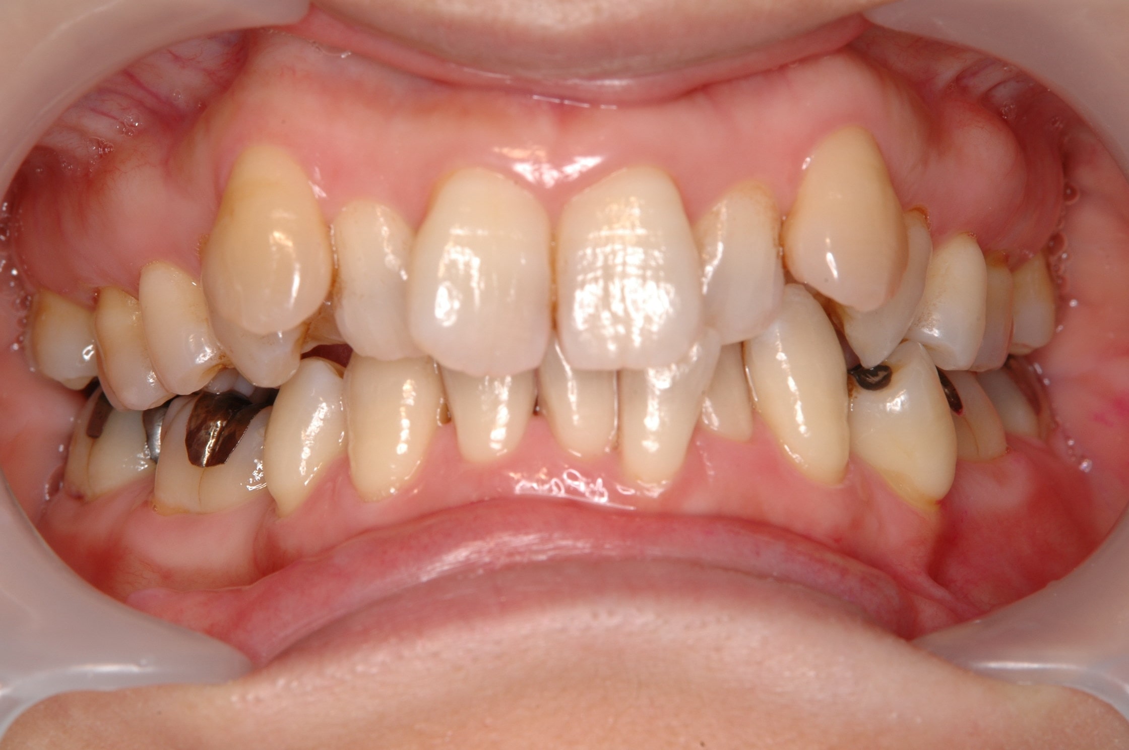
大人からでも矯正はできる?
歯並びが気になっているけれど、「もう年齢的に無理かも…」と諦めていませんか?
実は矯正治療は、年齢に関係なく受けることが可能です。
「矯正治療」というと子供の治療というイメージをお持ちの方も多いかもしれません。
しかし近年では、歯並びにコンプレックスを感じている大人の方の矯正治療も一般的になってきています。
20代から60代まで、幅広い年齢層の方が治療を受けられています。
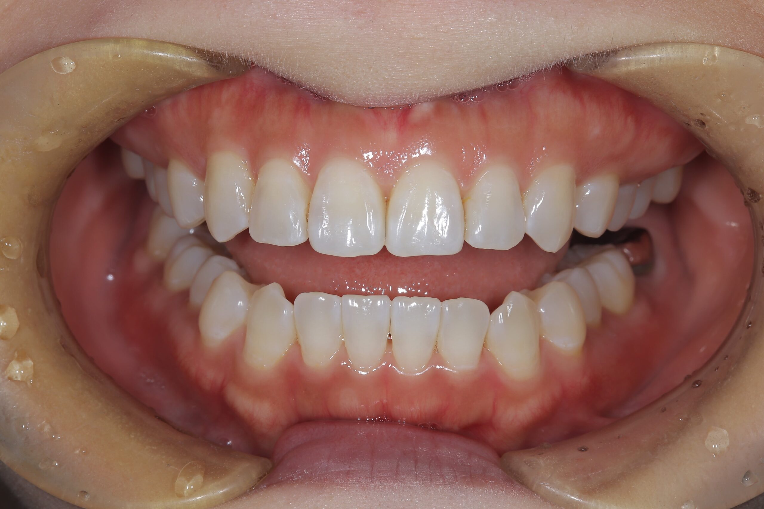
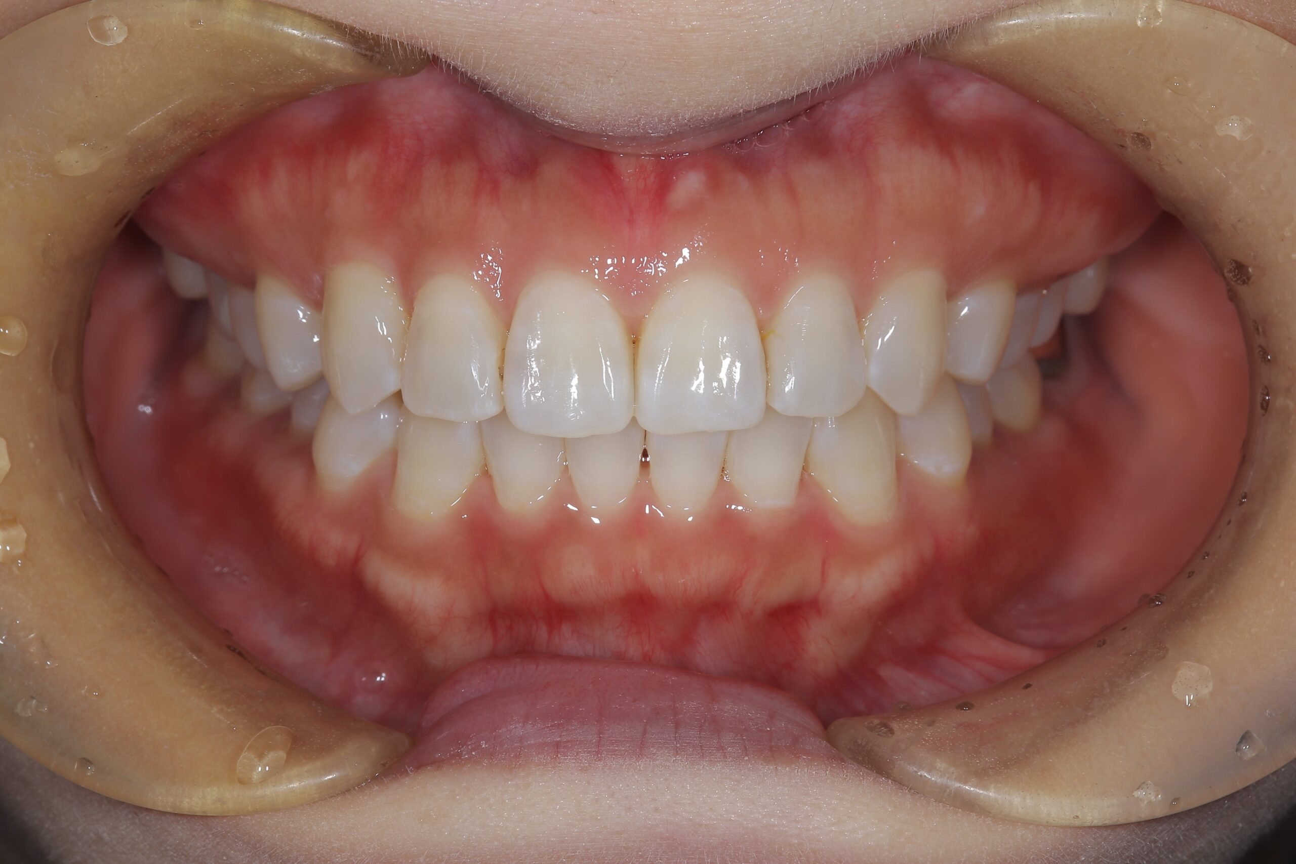
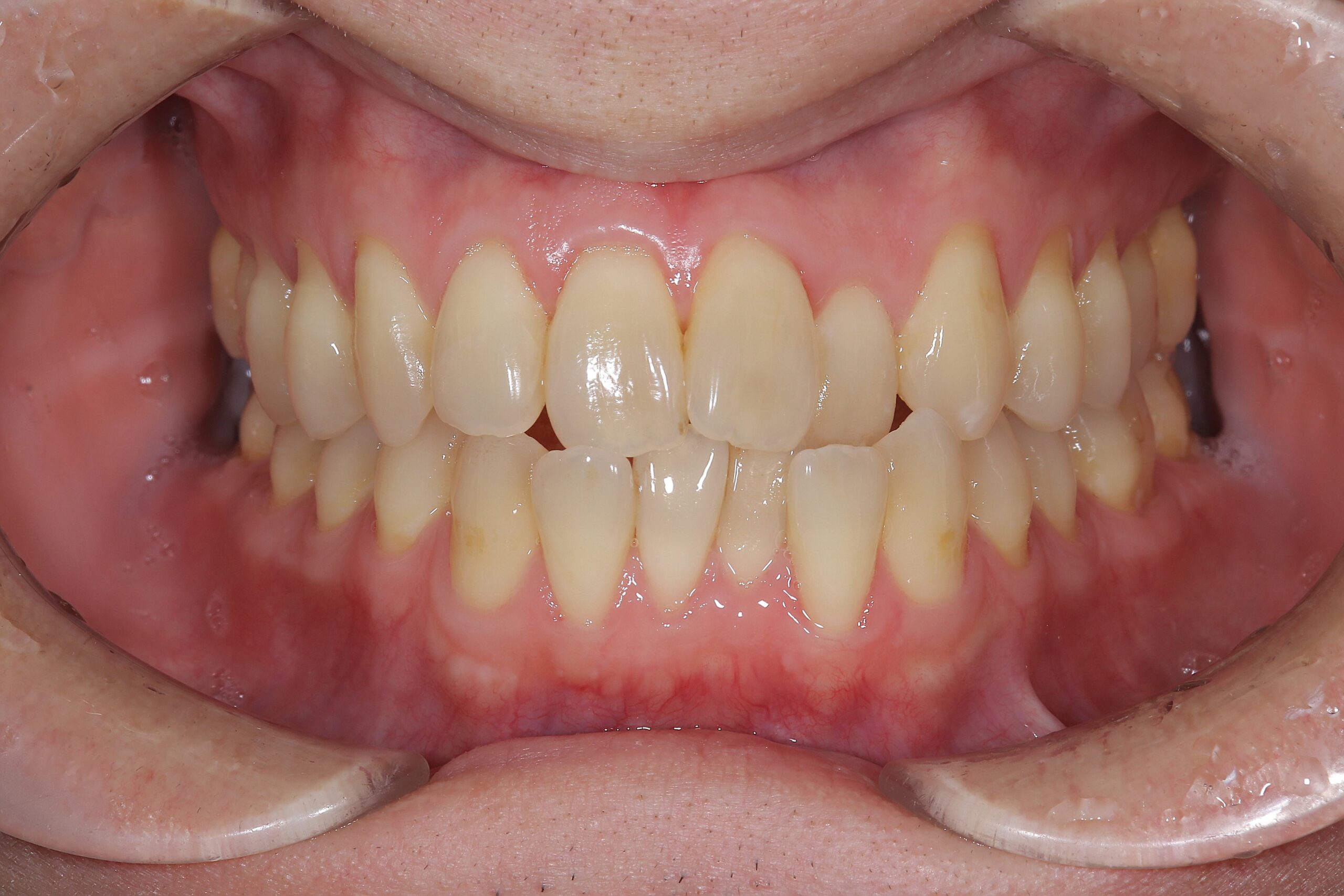
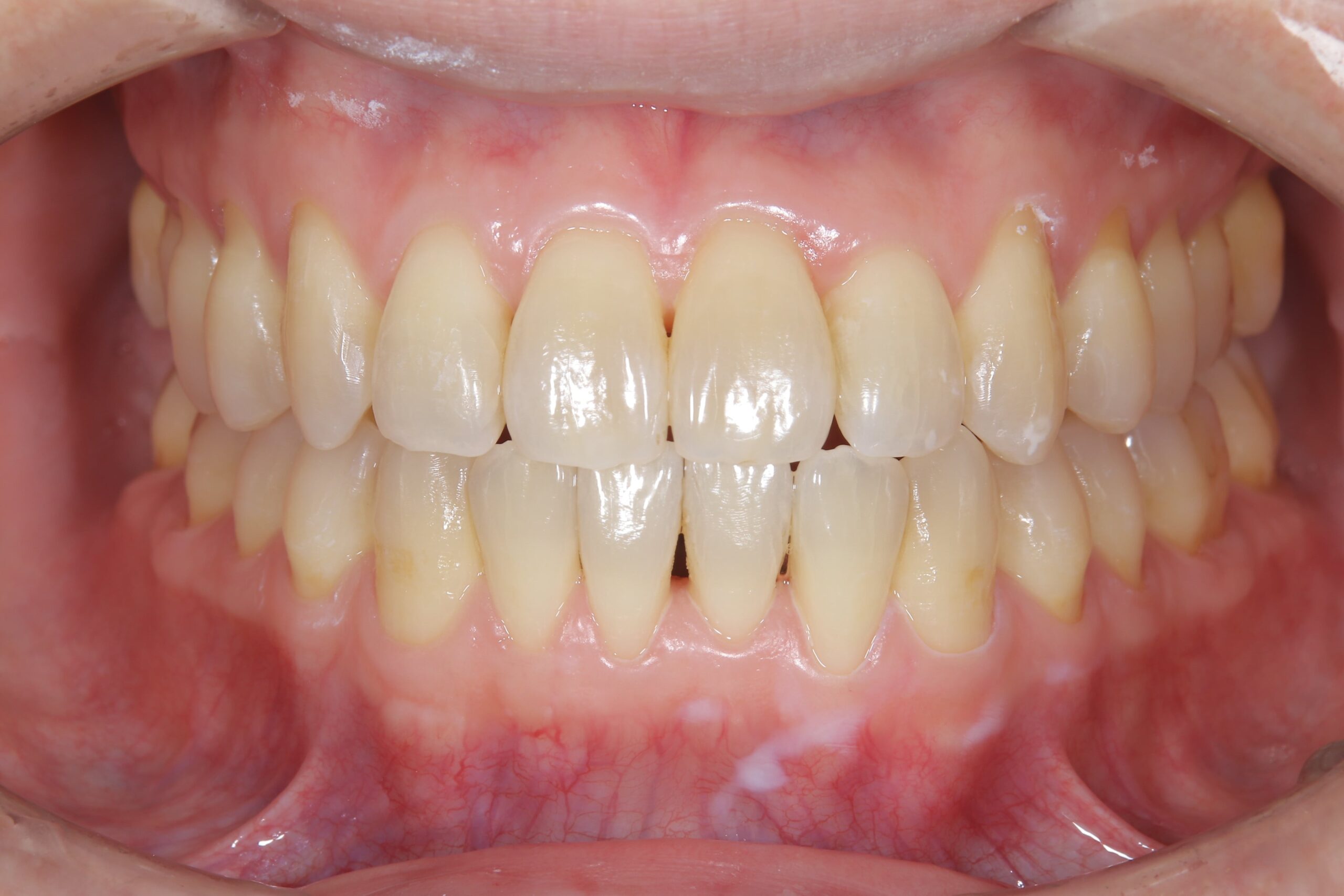
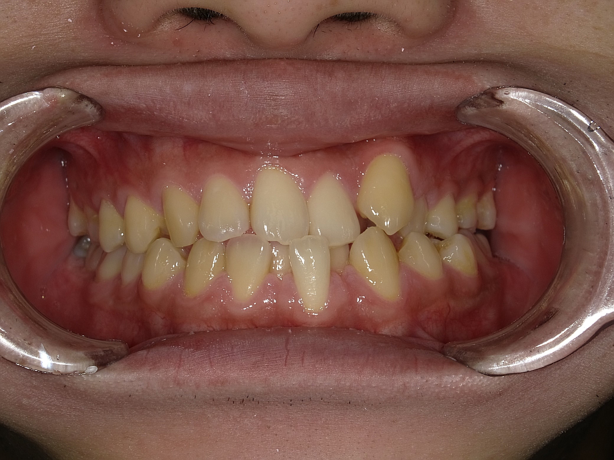
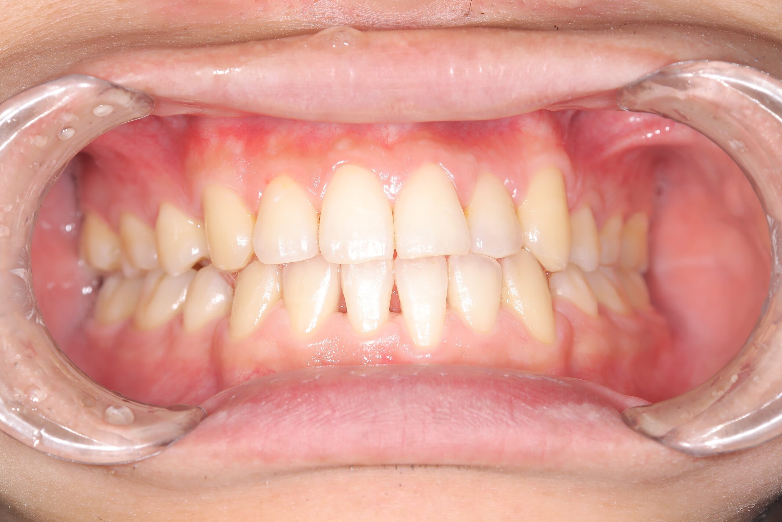
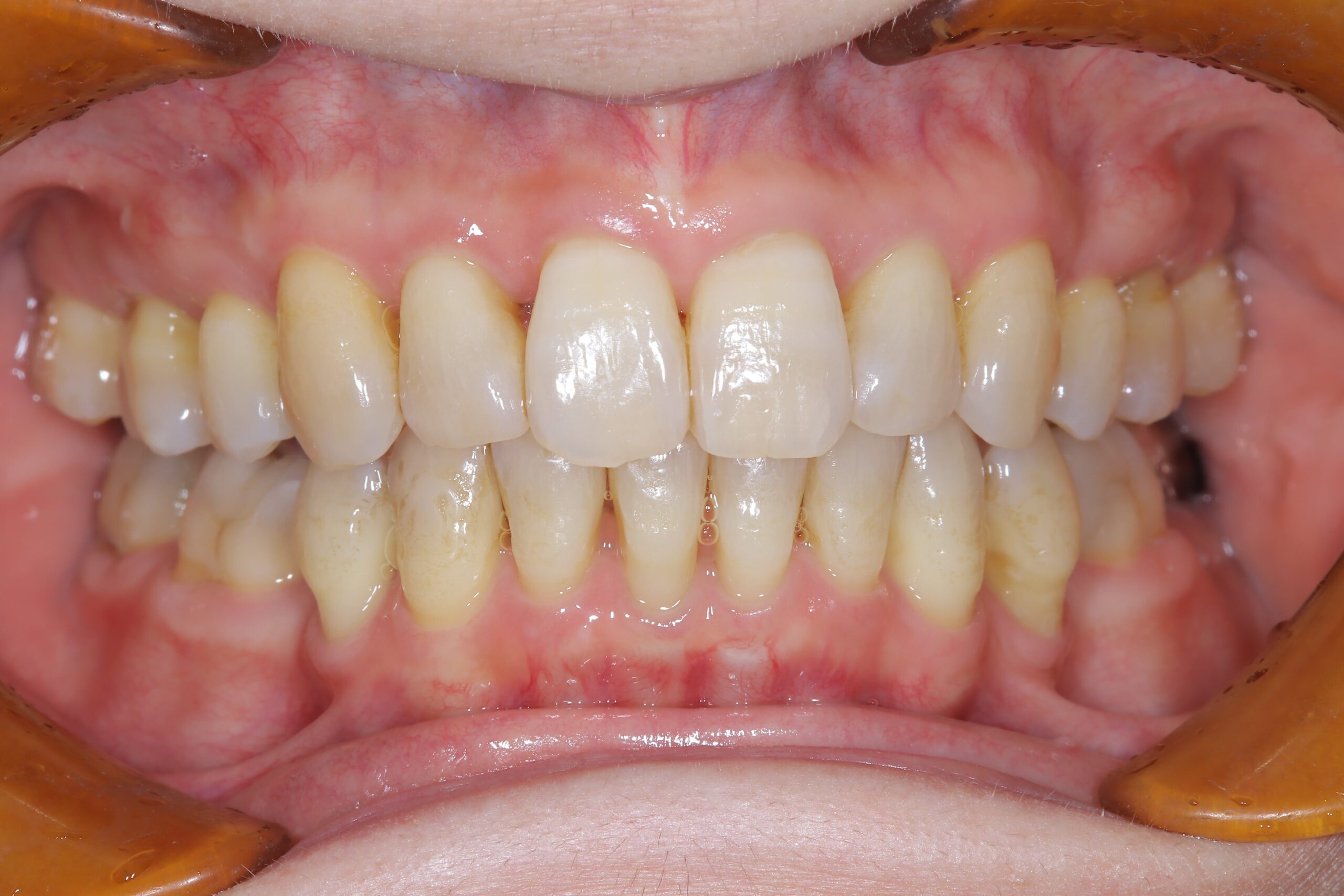
また、従来の目立つ金属製のブラケットだけでなく、セラミックブラケットやマウスピース矯正(マウスピース型矯正装置)など、治療中の見た目も気にならない矯正装置もご用意しています。
お仕事柄、矯正装置が目立つと困る方にも、周囲を気にせず安心して治療に取り組んでいただけます。
当院では、まずはカウンセリングで患者様のご希望やライフスタイルをおうかがいし、最適な矯正方法をご提案させていただきます。歯並びでお悩みの方は、お気軽にご相談ください。




















