ラミネートべニアとは?
歯の表面を薄く削って、セラミックでできたシェルを貼り付ける治療法です。 被せ物のように歯を大きく削ることがなく、麻酔も必要ありません。できるだけ歯に負担をかけずに色を変えたい方におすすめです。過去に神経を取った歯や、テトラサイクリン系の薬によって変色した歯も、ラミネートベニアなら白くできます。また、少しであれば横幅を広げることも可能なため、歯と歯の間のすき間にお悩みの方にも向いています。
このようなお悩みの方におすすめ
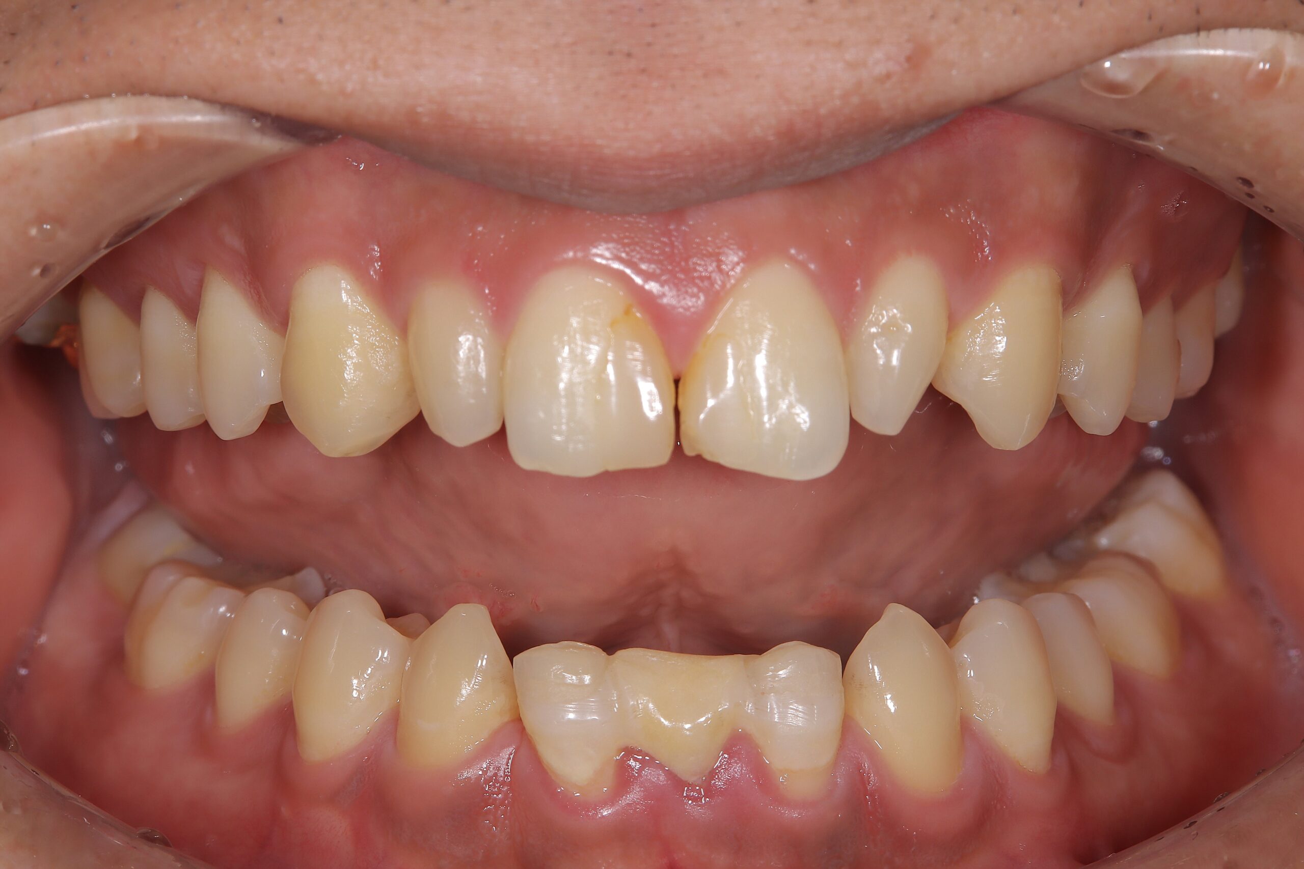
- 前歯にすきっ歯があり、自身を持って笑えない
- 前歯の色や形をきれいに整えたい
- 短期間で前歯を綺麗に治したい
ラミネートベニアのメリット
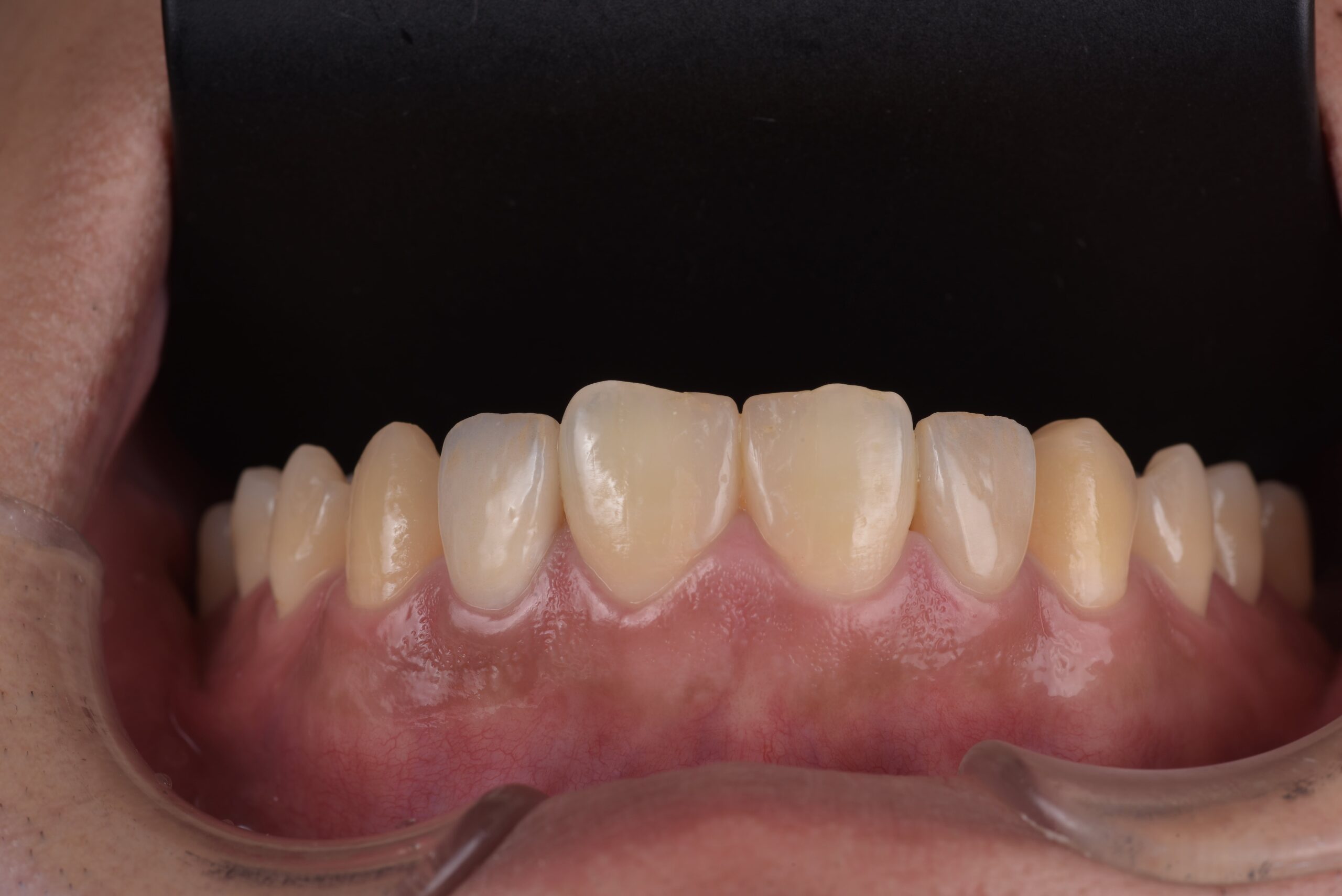
メリット① 綺麗なツヤ感・色調を実現
セラミックは天然歯のような透明感のある白さを出せるため、見た目がとても自然です。表面に傷や汚れがつきにくいといった特徴もあることから、きれいな状態を長く維持しやすいといえるでしょう。メリット② 短期間の通院頻度
ラミネートベニアの治療期間は1~2週間です。1日目で歯を削って型を取り、1~2週間後の2回目で製作したシェルを歯の表面に貼り付けます。
被せ物を行うよりも通院頻度が少ないため、すぐに見た目や形を変えたい方におすすめです。メリット③ 変色しにくい
保険で行う白い詰め物とはちがい、ラミネートベニアは長期間使用しても変色がおこりにくい傾向にあります。金属が含まれていないため、歯ぐきが下がっても根元が黒く目立つ可能性もゼロです。




